Fimela.com, Jakarta Kanker paru-paru, penyakit mematikan yang seringkali terlambat terdeteksi, padahal sebenarnya bisa dicegah. Kanker paru salah satu tantangan kesehatan global yang mendesak. Menurut data GLOBOCAN 2022, diperkirakan terdapat 2,4 juta kasus baru kanker paru di seluruh dunia,menyumbang 23,6% dari total kasus kanker, dan hampir 1,8 juta kematian, atau 16,8% dari totalkematian akibat kanker secara global.
Di Indonesia, kanker paru juga menjadi penyebab utamakematian akibat kanker, menyumbang 14,1% dari total kematian kanker, dan 9,5% dari total kasuskanker. Dr. Jamal Zaini, Ph.D, Sp.P.K.R, Subsp. Onk.T. (K) – Spesialis Pulmonologi dan Kedokteran Respirasi Subspesialis Onkologi Toraks, menyampaikan bahwa, mengenali faktor risiko kanker paru sangat penting. Beberapa faktor tersebut meliputi riwayat merokok, paparan zat karsinogenik, usia, serta riwayat kanker dalam keluarga.
Merokok jadi faktor risiko terbesar kanker paru-paru. Baik perokok aktif maupun pasif sama-sama rentan. Berhenti merokok, kapan pun, adalah langkah paling penting. Selain itu, hindari paparan polusi udara dan zat karsinogenik seperti asbes dan radon. Jika bekerja di lingkungan berisiko, gunakan alat pelindung diri (APD).
Advertisement
Lingkungan sekitar juga berperan penting. Pilih tempat tinggal yang minim polusi udara. Gunakan masker jika diperlukan saat berada di luar ruangan, terutama di area dengan tingkat polusi tinggi. Sahabat Fimela, kesehatan paru-mu berharga!
"Bagi individu dengan faktor-faktor risiko ini, disarankan untuk melakukan skrining rutin sedini mungkin guna mendeteksi kanker paru pada tahap awal," ujarnya
Advertisement
Skrining Kanker Paru Lebih Awal
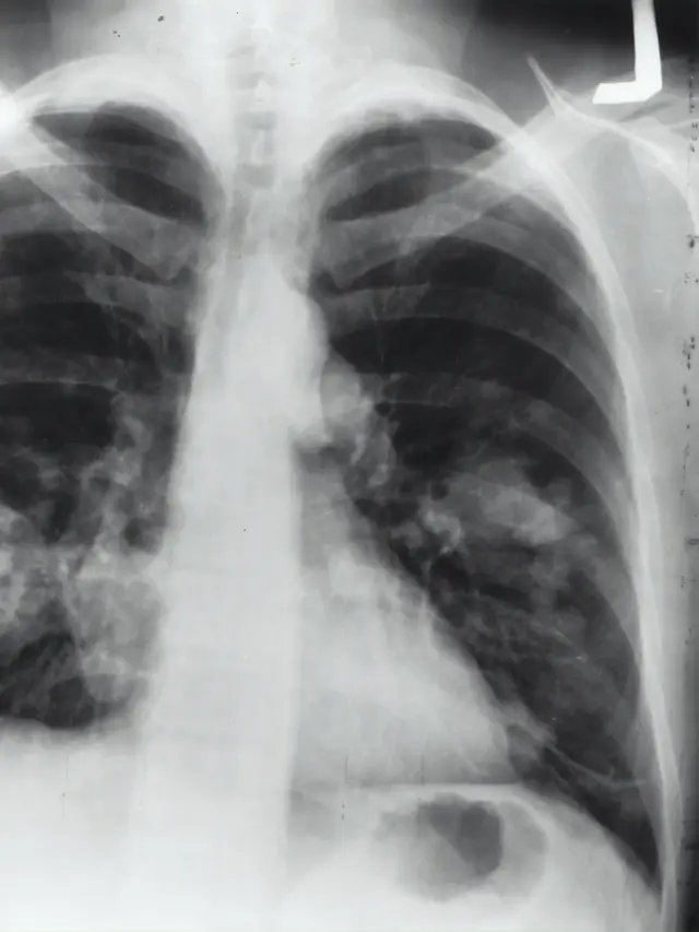
Dr. Jamal Zaini mengatakan skrining rutin sedini mungkin guna mendeteksi kanker paru pada tahap awal. Salah satu metode skrining yang direkomendasikan adalah Low-Dose Computed Tomography (LDCT), yang dapat membantu menurunkan angka kematian akibat kanker paru, terutama padakelompok berisiko tinggi.
"LDCT mampu mendeteksi kelainan pada paru sejak dini dan dalamukuran sangat kecil, bahkan sebelum munculnya gejala, sehingga memungkinkan intervensi lebih cepat dan peluang kesembuhan lebih besar,” lanjut dr.Jamal.
Dua studi besar mendukung efektivitas LDCT: National Lung Screening Trial (NLST) di Amerika Serikat mencatat penurunan kematian sebesar 20% dibanding rontgen dada biasa,sementara NELSON Trial di Eropa mencatat penurunan hingga 24% pada pria dan 33% pada wanita dalam periode 10 tahun dengan skrining tahunan.
Berdasarkan pedoman dari Kementerian Kesehatan Republik Indonesia, skrining menggunakan LDCT dianjurkan setiap dua tahun bagi individu berusia 45 tahun ke atas yang memiliki riwayat merokok berat, baik yang masih merokok maupun yang telah berhenti dalam 10 tahun terakhir, perokok pasif serta mereka yang memiliki riwayat pajanan karsinogenik. Bagi individu dengan riwayat genetik kanker dalam keluarga, skrining disarankan dimulai lebih awal, yaitu pada usia 40 tahun.
Tes EGFR: Menentukan Terapi yang Lebih Tepat untuk Pasien Kanker Paru
Kanker paru secara umum terbagi menjadi dua tipe utama, yaitu Non-Small Cell Lung Cancer (NSCLC) dan Small Cell Lung Cancer (SCLC). NSCLC merupakan jenis yang paling umum, mencakup sekitar 85% dari seluruh kasus kanker paru, dan terdiri dari beberapa subtipe seperti adenokarsinoma, karsinoma sel skuamosa, dan karsinoma sel besar.
Sementara itu, SCLC mencakup sekitar 10–15% kasus, dikenal lebih agresif karena pertumbuhannya yang cepat dan sering dikaitkan dengan kebiasaan merokok. Sisanya merupakan tumor paru lain yang langka ditemukan.
Dr. Jamal menjelaskan, jika hasil skrining menunjukkan indikasikanker, pasien akan disarankan menjalani biopsi untuk memastikan keganasan dan jenis kankernya.
"Jika teridentifikasi sebagai NSCLC adenokarsinoma, maka tes biomolekuler seperti EGFR sangat dianjurkan untuk menentukan terapi yang paling efektif," katanya.
Organisasi internasional seperti National Comprehensive Cancer Network (NCCN) dan EuropeanSociety for Medical Oncology (ESMO) merekomendasikan tes EGFR pada seluruh pasien NSCLC khususnya prevalensi mutasi EGFR di Asia, termasuk Indonesia, tergolong tinggi.
Meta-analisis dari 57 studi mencatat prevalensi mutasi EGFR sebesar 49,1% pada pasien NSCLC stadium lanjut di Asia—jauh lebih tinggi dibandingkan Eropa (12,8%).
Jika hasil tes EGFR positif, terapi target menjadi pilihan pengobatan yang efektif. Pilihan terapi target EGFR terdiri dari generasi pertama, seperti gefitinib dan erlotinib, generasi kedua, seperti afatinib dan dacomitinib, serta generasi ketiga, seperti osimertinib.
Obat generasi ketiga seperti osimertinib dirancang untuk menghambat mutasi EGFR, termasuk mutasi resistensi T790M, danefektif menembus sawar darah otak, serta dengan efek samping yang relatif lebih ringan dibandingkan kemoterapi konvensional/
Advertisement
Deteksi Dini: Langkah Tepat untuk Kesembuhan
Sahabat Fimela, pemeriksaan kesehatan rutin sangat penting, terutama bagi perokok atau mereka yang terpapar zat karsinogenik. Deteksi dini meningkatkan peluang kesembuhan. Skrining kanker paru-paru, seperti CT scan low-dose, dapat direkomendasikan untuk kelompok berisiko tinggi.
Jika kamu memiliki riwayat keluarga kanker paru-paru, konsultasikan dengan dokter untuk evaluasi risiko dan rencana pencegahan yang lebih spesifik. Sahabat Fimela, jangan ragu untuk memeriksakan diri secara rutin.
Sahabat Fimela, waspadai gejala seperti batuk kronis, sesak napas, batuk darah, atau penurunan berat badan yang tidak dapat dijelaskan. Segera konsultasi ke dokter jika mengalami gejala tersebut.
Sahabat Fimela, mencegah lebih baik daripada mengobati. Dengan menerapkan gaya hidup sehat dan melakukan deteksi dini, kamu telah melindungi diri dari ancaman kanker paru-paru. Ingat, kesehatan paru-paru adalah investasi berharga untuk masa depan.

:strip_icc():format(webp)/kly-media-production/avatars/1808529/original/044124600_1538876305-98881E15-4590-420B-B428-7F754A916498.jpeg)
:strip_icc():format(webp)/kly-media-production/medias/4620950/original/039726600_1698055340-national-cancer-institute-0izFVmwJ5pw-unsplash.jpg)
:strip_icc():format(webp)/kly-media-production/medias/3524262/original/002035500_1627480618-national-cancer-institute-59pGROkKJPE-unsplash.jpg)

:strip_icc():format(webp)/kly-media-production/medias/5454134/original/023311600_1766550606-Lagidiskon__desktop-mobile__356x469_-_Button_Share.png)
:strip_icc():format(webp)/kly-media-production/medias/5436821/original/022017900_1765186364-pexels-anna-pou-8329902.jpg)
:strip_icc():format(webp)/kly-media-production/medias/3286636/original/093458900_1604471471-pexels-photo-4239011.jpeg)
:strip_icc():format(webp)/kly-media-production/medias/5436788/original/050733500_1765773245-Depositphotos_812580836_L.jpg)
:strip_icc():format(webp)/kly-media-production/medias/5441338/original/025527600_1765504149-Every_Day_is_A_Sunny_Day_When_I_Am_with_You.jpeg)
:strip_icc():format(webp)/kly-media-production/medias/2981728/original/010002700_1575023913-ben-white-vJz7tkHncFk-unsplash.jpg)
:strip_icc():format(webp)/kly-media-production/medias/5434360/original/073007100_1764924578-pexels-vanessa-loring-5082373.jpg)
:strip_icc():format(webp)/kly-media-production/medias/2995662/original/061514500_1576230464-juliana-malta-YwutubGmzSU-unsplash.jpg)
:strip_icc():format(webp)/kly-media-production/medias/5434439/original/085265100_1764927392-Depositphotos_835881408_L.jpg)
:strip_icc():format(webp)/kly-media-production/medias/5452175/original/053343100_1766388567-front-close-view-young-attractive-female-white-t-shirt-doing-make-up-with-slight-smile-pink-background.jpg)
:strip_icc():format(webp)/kly-media-production/medias/5446721/original/005950600_1765939085-IMG-20251217-WA0003.jpg)
:strip_icc():format(webp)/kly-media-production/medias/5411995/original/098546600_1763028037-IMG_3023-01.jpeg)
:strip_icc():format(webp)/kly-media-production/medias/5437620/original/023028500_1765258087-Depositphotos_804339058_L.jpg)
:strip_icc():format(webp)/kly-media-production/medias/5401017/original/094526700_1762154835-IMG-20251103-WA0022.jpg)
![Langkah konkret ini juga tercermin dari kolaborasi MODENA Energy dengan PT Aneka Rimba Indonusa di Gresik, Jawa Timur. Melalui instalasi sistem solar panel di fasilitas pabriknya, Aneka Rimba Indonusa menunjukkan bahwa keputusan ramah lingkungan bukan sekadar wacana, melainkan bagian dari gaya hidup dan nilai hidup modern yang bertanggung jawab. [Dok/MODENA].](https://cdn0-production-images-kly.akamaized.net/UTKT1GCKNN6hF6ewZC93HXGtCVw=/320x217/smart/filters:quality(75):strip_icc():format(webp)/kly-media-production/medias/5459019/original/035824900_1767150949-3_SolarPad_dari_MODENA_Energy_menjadi_solusi_energi_surya_yang_fleksibel.jpeg)
:strip_icc():format(webp)/kly-media-production/medias/5458775/original/061276700_1767090290-SnapInsta.to_501028804_18050077160457563_2902901060919343441_n.jpg)
:strip_icc():format(webp)/kly-media-production/medias/5199992/original/032478400_1745659319-Membeli_pakain_thrifting.jpg)
:strip_icc():format(webp)/kly-media-production/medias/5385986/original/097807000_1760950188-asalsasa.jpg)
:strip_icc():format(webp)/kly-media-production/medias/5457413/original/099311100_1767000526-SnapInsta.to_278051358_479869563824525_1466054846469862346_n.jpg)
:strip_icc():format(webp)/kly-media-production/medias/5422696/original/083896100_1764038997-Depositphotos_756773588_XL.jpg)
:strip_icc():format(webp)/kly-media-production/medias/5419414/original/027891200_1763695044-Depositphotos_723518782_XL.jpg)
:strip_icc():format(webp)/kly-media-production/medias/5457218/original/056677100_1766990960-Depositphotos_853693354_XL.jpg)
:strip_icc():format(webp)/kly-media-production/medias/5348892/original/017216600_1757905330-Depositphotos_455730358_XL.jpg)
:strip_icc():format(webp)/kly-media-production/medias/4915460/original/028798400_1723431367-woman-using-computer-smile-coffee.jpg)
:strip_icc():format(webp)/kly-media-production/medias/5278790/original/066900500_1752120080-Depositphotos_668896390_XL.jpg)
![Buat kamu yang sering males bawa tas, this might be your new everyday essential. [@ninjalabsx].](https://cdn1-production-images-kly.akamaized.net/JmPHj_AUqE0OF1amNJyGoeHJEqw=/320x217/smart/filters:quality(75):strip_icc():format(webp)/kly-media-production/medias/5431872/original/017250000_1764749869-SnapInsta.to_464376048_18021797717608173_6667940723387353151_n.jpg)
:strip_icc():format(webp)/kly-media-production/medias/5428609/original/023315200_1764553676-MIUCCIA_PRADA_HONORED_WITH_THE_LIFETIME_ACHIEVEMENT_AWARD_AT_THE_FASHION_TRUST_ARABIA_AWARDS_CEREMONY_2025__1_.jpg)
![Jennie BLACKPINK Berkolaborasi dengan Haribo. [@jennierubyjane]](https://cdn1-production-images-kly.akamaized.net/aV4GRPgoYJp6CPnLCXQZBu2qm5o=/320x217/smart/filters:quality(75):strip_icc():format(webp)/kly-media-production/medias/5426470/original/076048800_1764306557-IMG_1424_2_.jpeg)
:strip_icc():format(webp)/kly-media-production/medias/5426531/original/055682400_1764308639-Screenshot_2025-11-28_123440.png)
:strip_icc():format(webp)/kly-media-production/medias/5426229/original/035642400_1764297400-tong-su-1xx1hq2RJts-unsplash.jpg)
:strip_icc():format(webp)/kly-media-production/medias/5426004/original/019931600_1764246120-Nov_27__2025__07_20_48_PM.png)
:strip_icc():format(webp)/kly-media-production/medias/5430186/original/067487000_1764654599-asian-family-mother-father-daughter-making-fun-sleep-play-living-room-home-background__1_.jpg)
:strip_icc():format(webp)/kly-media-production/medias/5459506/original/026990000_1767162733-Fimelamom_-_Where_Every_Mom_is_Celebrated__LS.jpg)
:strip_icc():format(webp)/kly-media-production/medias/3473237/original/054165500_1622798285-caleb-woods-VZILDYoqn_U-unsplash.jpg)
:strip_icc():format(webp)/kly-media-production/medias/3513686/original/037618500_1626515164-xavier-mouton-photographie-MRWHSKimBJk-unsplash.jpg)
:strip_icc():format(webp)/kly-media-production/medias/5323420/original/076358700_1755768382-IMG-20250821-WA0012_1_.jpg)
:strip_icc():format(webp)/kly-media-production/medias/2408237/original/042128000_1542183845-yura-fresh-760057-unsplash.jpg)
:strip_icc():format(webp)/kly-media-production/medias/5452876/original/099231900_1766461807-FIMELA_FASHION_-_Lanvin_at_Its_Most_Glam__IG_Feed__1_.jpg)
:strip_icc():format(webp)/kly-media-production/medias/3221935/original/084901000_1598605805-pexels-andrea-piacquadio-975250.jpg)
:strip_icc():format(webp)/kly-media-production/medias/3353795/original/056458100_1611093586-beautiful-elegance-luxury-fashion-pink-women-handbag_1203-7653.jpg)
:strip_icc():format(webp)/kly-media-production/medias/5416947/original/076643700_1763480454-IMG_4832.jpg)
![Tasya Farasya memilih gaun rancangan Sapto Djojokartiko berwarna nude lembut yang memancarkan aura elegan dan feminin. Detail renda dan bordir bunga yang menjalar di seluruh permukaan dress memberi kesan etereal, seolah Tasya melangkah dengan sentuhan magis di setiap langkahnya. [@tasyafarasya].](https://cdn1-production-images-kly.akamaized.net/OqVnUTOel9W48rzP0VmUfvkZ43Y=/0x0:1080x608/320x217/filters:quality(75):strip_icc():format(webp)/kly-media-production/medias/5401013/original/058481200_1762154715-SnapInsta.to_572802011_18541861090004502_6731982056297577983_n.jpg)
:strip_icc():format(webp)/kly-media-production/medias/5395367/original/014527000_1761705838-FIMELA_FASHION_-_BLUSH_ELEGANCE_TO_SCULPTED_GRACE__IG_FEED_ls__1_.jpg)
:strip_icc():format(webp)/kly-media-production/medias/1855859/original/075773100_1517486603-20180201-Cuaca-Ekstrem-IA2.jpg)
:strip_icc():format(webp)/kly-media-production/medias/5457202/original/052534000_1766990691-IMG_4518.jpg)
:strip_icc():format(webp)/kly-media-production/medias/5459971/original/008990300_1767184069-IMG-20251231-WA0044.jpg)
:strip_icc():format(webp)/kly-media-production/medias/1777036/original/078718000_1511258776-jambret.jpg)
:strip_icc():format(webp)/kly-media-production/medias/5292222/original/022875000_1753247405-efee62e2-84c3-4d97-89c6-32bf7b5f099d.jpg)
:strip_icc():format(webp)/kly-media-production/medias/5459876/original/094153100_1767177797-1001392762.jpg)
:strip_icc():format(webp)/kly-media-production/medias/5459979/original/032311800_1767185663-Depositphotos_607125568_S.jpg)
:strip_icc():format(webp)/kly-media-production/medias/5459986/original/052925600_1767186647-Depositphotos_808884130_S.jpg)
:strip_icc():format(webp)/kly-media-production/medias/5459901/original/095558400_1767179070-Depositphotos_542942376_S.jpg)
:strip_icc():format(webp)/kly-media-production/medias/5459974/original/020442100_1767184566-Depositphotos_588576994_S.jpg)