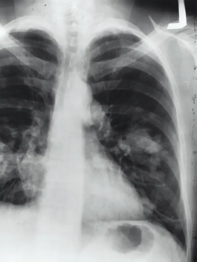
Fimela.com, Jakarta Kanker paru-paru menjadi salah penyakit kelompok kanker yang paling banyak menyebabkan kematian. Hal ini dikarenakan kanker paru-paru umumnya tidak memiliki gejala di awal kemunculan.
Oleh karenanya Spesialis pulmonologi, Prof dr Elisna Syahruddin PhD SpP(K) mengatakan pasein dengan kanker paru-paru biasanya sudah tingkat lanjut jika berkonsultasi dengan dokter. "Biasanya udah kena dari 20 tahun tapi tidak terasa kalau tidak dicek. 80 persen diketahui sudah tingkat lanjut, 20 persen karena insidentil," ujar Prof Elisna dalam acara peluncuran aplikasi Pulih.
Kanker paru pun dihubung-hubungkan dengan Covid-19 sebab menjadi salah satu komorbid yang dapat menjadi penyebab terinfeksi virus Covid-19. Namun, Prof Elisna mengatakan pasien kanker paru-paru justru tidak stres mengenai Covid-19, sebab para survival kanker sudah bisa mengelola stres.
Advertisement
BACA JUGA
"Saya sendiri sudah melakukan survei jika para pasien kanker tidak stres karena Covid-19 ini. Karena mereka sudah terbiasa mengelola stres jadi lebih santai," papar.
Meski begitu, Prof Elisna menyarankan untuk pasien kanker paru-paru tetap melaksanakan protokol kesehatan, mencari tahu ke profesional seperti dokter jika bergejala, tetap mengikuti saran dokter untuk melakukan terapi, dan mengikut prosedur di rumah sakit untuk mengontrol penyakit.
Ia juga menyebutkan jika skrining kanker hanya bisa dilakukan saat pasien belum bergejala dan dilakukan atas kehendak sendiri. Perhimpunan Dokter Paru Indonesia (PDPI) merekomendasikan skrining dilakukan oleh mereka yang berusia di atas 45 tahun, perokok pasif/aktif, bebas perokok kurang dari 10 tahun, memiliki riwayat paru, dan bekerja di lingkungan berisiko.
Advertisement
Aplikasi PULIH
Prof Elisna mengatakan diagnosis dan pengobatan yang tepat waktu merupakan faktor penting untuk menentukan keberhasilan pengobatan kanker paru-paru.
Masyarakat perlu menghindari faktor risiko kanker paru dan mengetahui gejala kanker paru sehingga apabila merasakan beberapa gejala tersebut, perlu segera melakukan konsultasi kepada dokter agar bisa terdiagnosa lebih cepat. Lebih dari itu, pasien yang sudah terdiagnosa, harus mendapatkan terapi sesuai dengan kondisinya karena kanker paru berkembang dengan cepat.
Masa pandemi tidak menyebabkan pasien harus berhenti melakukan pemantauan terlebih melanjutkan terapi.
Ketua YKI, Prof. Dr. dr. Aru Wisaksono Sudoyo, Sp.PD-KHOM, FINASIM, FACP mengatakan, Yayasan Kanker Indonesia menyadari bahwa kesinambungan dalam perjalanan pengobatan seorang pasien kanker itu amat penting dan pemanfaatan teknologi digital merupakan langkah strategis.
Oleh sebab itu, YKI menyambut baik tersedianya aplikasi PULIH yang dapat memfasilitasi pasien kanker di seluruh Indonesia dengan beragam informasi dan akses seputar kanker.
“Layanan digital sangat membantu pasien kanker, terlebih selama pandemi COVID-19 yang membatasi pergerakan dan perhatian terhadap penanggulangan kanker. Melalui kerjasama ini, kami berharap aplikasi PULIH juga dapat mendorong masyarakat untuk menyadari dalam melakukan deteksi dini kanker, termasuk pada kanker paru, guna mencegah ditemukannya kanker pada stadium lanjut,” tambah Prof. Aru Sudoyo.
Aplikasi PULIH saat ini sudah tersedia dan sudah bisa diunduh di Google Playstore untuk mengetahui semua mengenai informasi kanker.
Bagaimana kondisi terkini suami Tasya Kamila yang mengidap kanker getah bening? Yuk, simak video selengkapnya!
#elevate women

:strip_icc():format(webp)/kly-media-production/avatars/1808529/original/044124600_1538876305-98881E15-4590-420B-B428-7F754A916498.jpeg)
:strip_icc():format(webp)/kly-media-production/medias/3524262/original/002035500_1627480618-national-cancer-institute-59pGROkKJPE-unsplash.jpg)
:strip_icc():format(webp)/kly-media-production/medias/3495856/original/026823100_1624942603-shutterstock_1718032579.jpg)
:strip_icc():format(webp)/kly-media-production/avatars/388970/original/039445900_1708425916-WhatsApp_Image_2024-02-15_at_12.52.17.jpeg)
:strip_icc():format(webp)/kly-media-production/medias/5465029/original/070699400_1767756811-Lagidiskon__desktop-mobile__356x469_-_Button_Share__1_.png)
:strip_icc():format(webp)/kly-media-production/medias/5418673/original/032439000_1763624709-high-angle-womens-having-lunch.jpg)
:strip_icc():format(webp)/kly-media-production/medias/5501566/original/058091000_1770946817-Depositphotos_641265014_L.jpg.jpeg)
:strip_icc():format(webp)/kly-media-production/medias/5501555/original/058613600_1770945749-Depositphotos_855475316_L.jpg.jpeg)
:strip_icc():format(webp)/kly-media-production/medias/5501560/original/049832000_1770946269-Depositphotos_189857102_L.jpg.jpeg)
:strip_icc():format(webp)/kly-media-production/medias/5494109/original/059955800_1770278846-Depositphotos_467200236_S.jpg)
:strip_icc():format(webp)/kly-media-production/medias/5492159/original/054788400_1770124951-WhatsApp_Image_2026-02-03_at_18.27.37.jpeg)
:strip_icc():format(webp)/kly-media-production/medias/5494164/original/091572400_1770279846-Depositphotos_389184090_S.jpg)
:strip_icc():format(webp)/kly-media-production/medias/5499280/original/056469900_1770781913-cropped-e866d747-e2cb-4ec4-b44f-acea415c6cc6.jpg)
:strip_icc():format(webp)/kly-media-production/medias/5492144/original/066339500_1770124140-WhatsApp_Image_2026-02-03_at_18.27.37__1_.jpeg)
:strip_icc():format(webp)/kly-media-production/medias/5490699/original/021266800_1770021961-Depositphotos_321262424_L.jpg)
:strip_icc():format(webp)/kly-media-production/medias/5490684/original/052362200_1770021120-Depositphotos_301379960_L.jpg)
:strip_icc():format(webp)/kly-media-production/medias/5442171/original/068778500_1765530125-pexels-limoo-3859717-16759203.jpg)
:strip_icc():format(webp)/kly-media-production/medias/5280312/original/040091100_1752220839-angiola-harry-nJv6xnlpNaA-unsplash.jpg)
:strip_icc():format(webp)/kly-media-production/medias/5444523/original/037906100_1765780926-IMG-20251215-WA0017.jpg)
:strip_icc():format(webp)/kly-media-production/medias/4621162/original/064350600_1698065303-angiola-harry-SJCalEw-1LM-unsplash.jpg)
:strip_icc():format(webp)/kly-media-production/medias/3584143/original/085063800_1632712787-sherise-vd-lRKHw5bj4Io-unsplash_1_.jpg)
:strip_icc():format(webp)/kly-media-production/medias/3979503/original/007248800_1648626578-stephen-andrews-GwgFPDXiSIs-unsplash.jpg)
:strip_icc():format(webp)/kly-media-production/medias/5516233/original/082177400_1772268178-TB_SPR26_RAMADAN_CAMPAIGN_20261299.jpg)
:strip_icc():format(webp)/kly-media-production/medias/5516221/original/081545200_1772267352-Screenshot_2026-02-28_152018.jpg)
![Sahabat Fimela, ikan kukus jahe kurma dapat menjadi menu buka puasa yang hangat dan pas untuk berbuka. [Dok/freepik.com/jcomp]](https://cdn0-production-images-kly.akamaized.net/nkTiMCvOnxERQjCjv9HfzmcdLeo=/320x217/smart/filters:quality(75):strip_icc():format(webp)/kly-media-production/medias/5511876/original/007087500_1771919613-25388.jpg)
:strip_icc():format(webp)/kly-media-production/medias/5516197/original/068081400_1772265559-WhatsApp_Image_2026-02-27_at_23.05.31__1_.jpeg)
:strip_icc():format(webp)/kly-media-production/medias/5456439/original/034486400_1766886922-IMG-20251201-WA0005_1_.jpg)
:strip_icc():format(webp)/kly-media-production/medias/5515377/original/037610500_1772173019-AFP__20260226__992C4Q2__v1__HighRes__BritainRoyals.jpg)

:strip_icc():format(webp)/kly-media-production/medias/5504505/original/044507100_1771238995-80299.jpg)
![Tidak hanya menjadi destinasi fashion eksklusif, pavilion seluas lebih dari 1.800 meter persegi ini juga memperlihatkan bagaimana dunia luxury mulai bergerak menuju pendekatan yang lebih dekat dengan alam dan keberlanjutan. [Dok/DIOR].](https://cdn1-production-images-kly.akamaized.net/uNmGHFL-mnf9vwtYfYBHO0QssKw=/320x217/smart/filters:quality(75):strip_icc():format(webp)/kly-media-production/medias/5510359/original/082447300_1771826792-WhatsApp_Image_2026-02-23_at_12.47.36__3_.jpeg)
:strip_icc():format(webp)/kly-media-production/medias/5481259/original/043313700_1769083787-Tarian_Kecak_di_Sanggraloka_Ubud.jpg)
:strip_icc():format(webp)/kly-media-production/medias/2777881/original/092225500_1555166618-lasse-moller-1360248-unsplash.jpg)
:strip_icc():format(webp)/kly-media-production/medias/3977835/original/066021800_1648524608-pexels-ahmed-aqtai-2233416_1_.jpg)
:strip_icc():format(webp)/kly-media-production/medias/5275206/original/016619700_1751868718-mother-daughter-studying-alphabet.jpg)
:strip_icc():format(webp)/kly-media-production/medias/5490544/original/098026000_1770015413-Depositphotos_506933790_XL.jpg)
:strip_icc():format(webp)/kly-media-production/medias/5457669/original/070899100_1767013830-woman-with-stomachache-puts-her-hands-her-stomach-covers-her-mouth.jpg)
:strip_icc():format(webp)/kly-media-production/medias/3917538/original/022218100_1643350868-henry-co-yxfGrQvLzJo-unsplash_1_.jpg)
:strip_icc():format(webp)/kly-media-production/medias/5325365/original/031645100_1755963944-front-view-young-female-red-shirt-suffers-from-physical-threats-violence-light-space-female-cloth-photo_11zon.jpg)
:strip_icc():format(webp)/kly-media-production/medias/5298500/original/084082800_1753763943-yael-gonzalez-oV6RSDQlq8Q-unsplash.jpg)
:strip_icc():format(webp)/kly-media-production/medias/5327417/original/054956200_1756180723-giu-vicente-pYrS9SgBLk0-unsplash.jpg)
:strip_icc():format(webp)/kly-media-production/medias/4917542/original/074860100_1723604268-pexels-vanessa-loring-5083228.jpg)
:strip_icc():format(webp)/kly-media-production/medias/5250058/original/018575800_1749706430-batik_balita.jpg)
:strip_icc():format(webp)/kly-media-production/medias/3591671/original/053834000_1633322807-insung-yoon-iioAHjNYA_o-unsplash.jpg)
:strip_icc():format(webp)/kly-media-production/medias/5327421/original/068931400_1756180732-michal-parzuchowski-geNNFqfvw48-unsplash.jpg)
:strip_icc():format(webp)/kly-media-production/medias/5479072/original/041763200_1768967463-raychan-YT1LV3U4ViA-unsplash.jpg)
:strip_icc():format(webp)/kly-media-production/medias/5477296/original/044809300_1768815162-pexels-yi-ren-57040649-25551423.jpg)
:strip_icc():format(webp)/kly-media-production/medias/5477191/original/015898700_1768811410-pexels-olly-3807757.jpg)
:strip_icc():format(webp)/kly-media-production/medias/5477138/original/069417700_1768809895-pexels-yi-ren-57040649-34990362.jpg)
:strip_icc():format(webp)/kly-media-production/medias/5515652/original/027031200_1772183970-tangga_Stasiun_Depok_Baru.jpg)
:strip_icc():format(webp)/kly-media-production/medias/5515822/original/040288400_1772191679-Guru_dan_teman_kelas_STN_menyalakan_lilin_di_meja.jpg)
:strip_icc():format(webp)/kly-media-production/medias/5515640/original/070632700_1772182819-1001042758.jpg)
:strip_icc():format(webp)/kly-media-production/medias/5515388/original/034478200_1772173258-Penyelundupan_daging_ilegal_di_Kepri.jpg)
:strip_icc():format(webp)/kly-media-production/medias/5515475/original/095872500_1772176644-Gubernur_Kaltim_Rudy_Ma_sud.jpg)
:strip_icc():format(webp)/kly-media-production/medias/5515350/original/091433200_1772171359-Bandar_Narkoba_Koko_Erwin_Ditangkap_Polisi.jpg)
:strip_icc():format(webp)/kly-media-production/medias/5516233/original/082177400_1772268178-TB_SPR26_RAMADAN_CAMPAIGN_20261299.jpg)
:strip_icc():format(webp)/kly-media-production/medias/5516221/original/081545200_1772267352-Screenshot_2026-02-28_152018.jpg)
:strip_icc():format(webp)/kly-media-production/medias/5219318/original/067676500_1747211347-000_46JX8ZP.jpg)
:strip_icc():format(webp)/kly-media-production/medias/5510174/original/095977000_1771820789-Depositphotos_408201428_XL.jpg)