Semakin berkembangnya zaman, semakin banyak pula jenis penyakit aneh yang dulunya tidak pernah kita dengarkan. Sering, Anda mendengarkan penyakit baru yang masih jarang ditemukan. Seperti, ditemukannya sebuah cacing sepanjang 1 cm di otak pria asal Inggris ini, dilansir dari dailymail.co.uk.
:strip_icc():format(jpeg)/kly-media-production/medias/2646578/original/071832400_1547008717-pita-1.jpg)
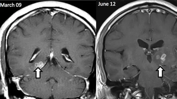
Cacing ini diketahui setelah hasil scan otak di mana cacing tersebut bahkan telah berhasil membuat lubang di otak pria yang tidak disebutkan namanya ini. Cacing parasit ditemukan telah berjalan sepanjang 5 cm dalam otak, yakni dari sisi kanan ke sisi kiri otak selama 4 tahun. Kondisi dengan cacing spirometra erinaceieuropaei ini termasuk langka, dan hanya ditemukan sebanyak 300 kasus yang sama dari seluruh belahan dunia.
Advertisement
Orang yang menderita hal tersebut tentu mengalami kelainan dengan otak mereka di antaranya seperti gejala sparganosis, ingatan yang perlahan hilang dan sakit kepala yang terasa luar biasa. Memang, cacingnya berukuran sangat kecil, yakni hanya sepanjang 1 cm saja, namun dampaknya sangat luar biasa.

Hingga saat ini, belum diketahui secara pasti penyebab adanya cacing pita parasit dalam otak. Hanya saja diperkirakan, mungkin karena terinfeksi atau sengaja mengonsumsi krustasea kecil yang berasal dari sungai seperti makan daging mentah dari reptil dan amfibi, atau menggunakan tapal katak mentah sebagai obat untuk mata.
Untuk bisa mengangkat cacing ini dari otak harus ditempuh dengan cara operasi. Tapi, operasi masih belum dipastikan bisa mengambil cacing tersebut seutuhnya. Pasalnya, bisa saja cacing telah meninggalkan telur-telur di otak yang kemudian menetas dan semakin banyak seperti yang dialami pria tersebut. Untuk menanganinya, penderita harus mengonsumsi obat-obatan anti-tapeworm.
Parahnya, selain cacing pita spirometra erinaceieuropaei, ternyata masih banyak lagi jenis infeksi lainnya yang membahayakan otak sebagai organ penting kita. Karena itu Ladies, berhati-hatilah dalam memilih makanan dan jangan sampai makanan yang masuk ke dalam tubuh terinfeksi oleh parasit yang membahayakan kesehatan.
(vem/riz)

:strip_icc():format(webp)/kly-media-production/medias/2646577/original/047100900_1547008716-ngeri-cacing-pita-sepanjang-1cm-ditemukan-di-otak-pria-ini-selama-4-tahun.jpg)
:strip_icc():format(webp)/kly-media-production/medias/5398914/original/068803600_1761900361-Lagidiskon__desktop-mobile__356x469_-_Button_Share.png)
:strip_icc():format(webp)/kly-media-production/medias/5431900/original/091193100_1764750582-pexels-shiny-diamond-3762453.jpg)
:strip_icc():format(webp)/kly-media-production/medias/5431713/original/096158000_1764817864-Depositphotos_402440488_L.jpg)
:strip_icc():format(webp)/kly-media-production/medias/5430105/original/012582200_1764652234-WhatsApp_Image_2025-12-02_at_12.02.51.jpeg)
:strip_icc():format(webp)/kly-media-production/medias/5429070/original/046629500_1764572898-IMG-20251201-WA0006.jpg)
:strip_icc():format(webp)/kly-media-production/medias/5424336/original/002212400_1764139673-WhatsApp_Image_2025-11-26_at_13.45.51__1_.jpeg)
:strip_icc():format(webp)/kly-media-production/medias/5426830/original/091991200_1764318859-Depositphotos_677416934_L.jpg)

:strip_icc():format(webp)/kly-media-production/medias/5422904/original/014614300_1764047398-Depositphotos_837198304_L.jpg)
:strip_icc():format(webp)/kly-media-production/medias/5271915/original/037909700_1751527182-1000106578.jpg)
:strip_icc():format(webp)/kly-media-production/medias/5145866/original/092183600_1740739179-WhatsApp_Image_2025-02-28_at_5.36.31_PM.jpeg)
:strip_icc():format(webp)/kly-media-production/medias/5414800/original/033232300_1763351406-Depositphotos_189086874_L.jpg)
:strip_icc():format(webp)/kly-media-production/medias/5417351/original/036772900_1763530484-IMG-20251119-WA0006.jpg)
:strip_icc():format(webp)/kly-media-production/medias/4210563/original/058390500_1667283991-Listening_Music_Before_Sleeping.jpg)
:strip_icc():format(webp)/kly-media-production/medias/5433800/original/036697500_1764902235-photo-grid_-_2025-12-05T092958.895.jpg)
:strip_icc():format(webp)/kly-media-production/medias/5383770/original/064662600_1760691483-person-serving-cup-coffee-with-metal-jug.jpg)
:strip_icc():format(webp)/kly-media-production/medias/3472306/original/061387500_1622720228-1.jpg)
:strip_icc():format(webp)/kly-media-production/medias/5432625/original/061031200_1764817850-Lenzing_dan_OceanSafe_Luncurkan_Tekstil_Berkelanjutan_Generasi_Baru_dengan_Teknologi_TENCEL____Lyocell_A100_dan_naNea.jpeg)
:strip_icc():format(webp)/kly-media-production/medias/5431096/original/069632600_1764726720-Foto_3.jpg)
:strip_icc():format(webp)/kly-media-production/medias/5430819/original/058391300_1764675223-WhatsApp_Image_2025-12-01_at_23.03.52.jpeg)
:strip_icc():format(webp)/kly-media-production/medias/5318532/original/055948900_1755488849-Depositphotos_831504574_XL.jpg)
:strip_icc():format(webp)/kly-media-production/medias/5322397/original/052833600_1755745130-Depositphotos_217506744_XL.jpg)
:strip_icc():format(webp)/kly-media-production/medias/5386900/original/074548500_1761025994-Depositphotos_685731278_XL.jpg)
:strip_icc():format(webp)/kly-media-production/medias/5393892/original/098624700_1761620089-Depositphotos_444183002_XL.jpg)
:strip_icc():format(webp)/kly-media-production/medias/5288117/original/033877800_1752892826-Depositphotos_567473778_XL.jpg)
:strip_icc():format(webp)/kly-media-production/medias/5276501/original/014846300_1751953910-Depositphotos_734386598_XL.jpg)
![Buat kamu yang sering males bawa tas, this might be your new everyday essential. [@ninjalabsx].](https://cdn1-production-images-kly.akamaized.net/JmPHj_AUqE0OF1amNJyGoeHJEqw=/320x217/smart/filters:quality(75):strip_icc():format(webp)/kly-media-production/medias/5431872/original/017250000_1764749869-SnapInsta.to_464376048_18021797717608173_6667940723387353151_n.jpg)
:strip_icc():format(webp)/kly-media-production/medias/5428609/original/023315200_1764553676-MIUCCIA_PRADA_HONORED_WITH_THE_LIFETIME_ACHIEVEMENT_AWARD_AT_THE_FASHION_TRUST_ARABIA_AWARDS_CEREMONY_2025__1_.jpg)
![Jennie BLACKPINK Berkolaborasi dengan Haribo. [@jennierubyjane]](https://cdn1-production-images-kly.akamaized.net/aV4GRPgoYJp6CPnLCXQZBu2qm5o=/320x217/smart/filters:quality(75):strip_icc():format(webp)/kly-media-production/medias/5426470/original/076048800_1764306557-IMG_1424_2_.jpeg)
:strip_icc():format(webp)/kly-media-production/medias/5426531/original/055682400_1764308639-Screenshot_2025-11-28_123440.png)
:strip_icc():format(webp)/kly-media-production/medias/5426229/original/035642400_1764297400-tong-su-1xx1hq2RJts-unsplash.jpg)
:strip_icc():format(webp)/kly-media-production/medias/5426004/original/019931600_1764246120-Nov_27__2025__07_20_48_PM.png)
:strip_icc():format(webp)/kly-media-production/medias/5379287/original/099091000_1760340454-IMG-20251013-WA0012.jpg)
:strip_icc():format(webp)/kly-media-production/medias/5404227/original/077206700_1762399533-young-boy-girl-planting-seeds-home.jpg)
:strip_icc():format(webp)/kly-media-production/medias/5404205/original/043168200_1762398414-IMG-20251106-WA0012.jpg)
![Kehangatan Tasya Farasya Bersama Kedua Anaknya. [@tasyafarasya]](https://cdn1-production-images-kly.akamaized.net/bX-j5y-afqjWHRnL3uobqwTutn8=/320x217/smart/filters:quality(75):strip_icc():format(webp)/kly-media-production/medias/5434624/original/091228100_1764936416-IMG_1772_1_.jpeg)
:strip_icc():format(webp)/kly-media-production/medias/2385454/original/079349900_1539755406-priscilla-du-preez-234148-unsplash.jpg)
:strip_icc():format(webp)/kly-media-production/medias/5424870/original/031623300_1764162763-derek-owens-I3UQSz13T9A-unsplash.jpg)
:strip_icc():format(webp)/kly-media-production/medias/3221935/original/084901000_1598605805-pexels-andrea-piacquadio-975250.jpg)
:strip_icc():format(webp)/kly-media-production/medias/3353795/original/056458100_1611093586-beautiful-elegance-luxury-fashion-pink-women-handbag_1203-7653.jpg)
:strip_icc():format(webp)/kly-media-production/medias/5416947/original/076643700_1763480454-IMG_4832.jpg)
![Tasya Farasya memilih gaun rancangan Sapto Djojokartiko berwarna nude lembut yang memancarkan aura elegan dan feminin. Detail renda dan bordir bunga yang menjalar di seluruh permukaan dress memberi kesan etereal, seolah Tasya melangkah dengan sentuhan magis di setiap langkahnya. [@tasyafarasya].](https://cdn1-production-images-kly.akamaized.net/OqVnUTOel9W48rzP0VmUfvkZ43Y=/0x0:1080x608/320x217/filters:quality(75):strip_icc():format(webp)/kly-media-production/medias/5401013/original/058481200_1762154715-SnapInsta.to_572802011_18541861090004502_6731982056297577983_n.jpg)
:strip_icc():format(webp)/kly-media-production/medias/5395367/original/014527000_1761705838-FIMELA_FASHION_-_BLUSH_ELEGANCE_TO_SCULPTED_GRACE__IG_FEED_ls__1_.jpg)
:strip_icc():format(webp)/kly-media-production/medias/5231281/original/035535800_1748077534-WhatsApp_Image_2025-05-24_at_4.02.19_PM.jpeg)
:strip_icc():format(webp)/kly-media-production/medias/4463448/original/027796500_1686608129-20230607_073052.jpg)
:strip_icc():format(webp)/kly-media-production/medias/3076122/original/074216200_1584103239-ILUSTRASI__2_.jpeg)
:strip_icc():format(webp)/kly-media-production/medias/5435339/original/043518800_1765021324-1000007927.jpg)
:strip_icc():format(webp)/kly-media-production/medias/5430000/original/050997400_1764649358-1.jpg)
:strip_icc():format(webp)/kly-media-production/medias/5306228/original/090660300_1754379822-IMG_0896.jpg)
:strip_icc():format(webp)/kly-media-production/medias/5435275/original/040088700_1765015088-WhatsApp_Image_2025-12-06_at_13.22.18.jpeg)
:strip_icc():format(webp)/kly-media-production/medias/4114786/original/013223100_1659770688-pexels-laura-garcia-3398405.jpg)
:strip_icc():format(webp)/kly-media-production/medias/5379222/original/048266200_1760338855-happy-woman-with-unusual-pink-hairs-making-selfie-yellow-wall-stylish-cozy-sweater-hearted-vintage-sunglasses.jpg)
:strip_icc():format(webp)/kly-media-production/medias/5379133/original/032467500_1760337310-medium-shot-woman-using-eye-patches.jpg)
:strip_icc():format(webp)/kly-media-production/medias/5402320/original/090042900_1762243725-close-up-foundation-applied-hand-with-brush.jpg)