Ketika memutuskan untuk memakai lensa kontak, pastikan bahwa kamu memakainya dengan baik. Pastikan pula untuk tidak terus menerus menggunakan lensa kontak agar mata tetap sehat dan jauh dari segala bahaya. Jika sebelumnya pernah ada seorang pria yang hampir buta karena pakai lensa kontak selama belasan jam setiap harinya, kini ada seorang gadis berusia 11 tahun yang sering kali menangis darah karena ada lensa kontak yang terjebak di kelopak mata selama 2 tahun.
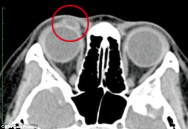
Dikutip dari laman dailymail.co.uk, gadis yang tidak mau disebutkan namanya asal Hong Kong, China ini mengaku bahwa ia sering mengeluarkan noda darah dari matanya saat ia menangis. Tak hanya ada darah, matanya pun juga bengkak dan terasa sakit. Karena kondisi yang aneh inilah ia pun dibawa ke rumah sakit oleh orang tuanya untuk melakukan pemeriksaan. Saat diperiksa dan dilakukan scan terhadap matanya, dokter terkejut dengan apa yang ditemukan di kelopak mata gadis.
:strip_icc():format(jpeg)/kly-media-production/medias/2578994/original/095727800_1546581825-nangis-darah-kontak-lensa.jpg)
Dokter menemukan ada sebuah lensa kontak yang terjebak di kelopak mata. Lensa kontak inilah yang dikatakan sebagai pemicu adanya noda darah saat si gadis menangis. Lensa kontak ini juga yang dikatakan membuat matanya bengkak dan sakit.
Yang lebih mengejutkan lagi, dokter memperkirakan bahwa lensa kontak ini telah terjebak di mata selama lebih dari 1 tahun. Karena telah terjebak dalam waktu yang lama, lensa kontak ini bahkan telah terbungkus kelenjar yang ada di mata dan keberadaannya tidak terlihat secara kasat mata. Si gadis pun juga memberi keterangan bahwa ia pernah kehilangan lensa kontak yang ia pakai kira-kira dua tahun yang lalu. Tapi, ia tidak pernah tahu bahwa lensa kontak yang hilang justru terjebak di kelopak matanya sendiri.
:strip_icc():format(jpeg)/kly-media-production/medias/2578995/original/049604400_1546581826-nangis-darah-kontak-lensa-3.jpg)
Atas apa yang dialaminya ini, si gadis pun harus mendapatkan serangkaian perawatan dan pengobatan untuk matanya. Ia juga harus mendapatkan operasi guna mengangkat lensa kontak yang terjebak di mata.
Duh, ngeri sekali dengan apa yang dialami oleh gadis ini ya? So, jika kamu tak ingin apa yang terjadi pada gadis ini terjadi pada kamu, pastikan untuk tidak menggunakan lensa kontak sembarangan. Pastikan bahwa kamu memakai lensa kontak sesuai petunjuk dokter dan jangan pakai lensa kontak dalam waktu yang sangat lama. Penggunaan lensa kontak dalam waktu lama tak hanya membuat mata sakit saja. Lebih jauh, hal ini juga bisa menyebabkan kebutaan.
Advertisement


:strip_icc():format(webp)/kly-media-production/medias/2578993/original/048933400_1546581824-ngeri-dokter-temukan-lensa-kontak-terjebak-di-mata-pasien.jpg)
:strip_icc():format(webp)/kly-media-production/medias/5465029/original/070699400_1767756811-Lagidiskon__desktop-mobile__356x469_-_Button_Share__1_.png)
:strip_icc():format(webp)/kly-media-production/medias/5441350/original/073314500_1765504657-Tanya_Jawab_tentang_Nutrisi_di_1000_Hari_Pertama_Kehidupan_Anak.jpeg)
:strip_icc():format(webp)/kly-media-production/medias/5441342/original/057711100_1765504279-Novel_Tiga.jpeg)
:strip_icc():format(webp)/kly-media-production/medias/5431754/original/099709900_1764747157-WhatsApp_Image_2025-12-03_at_14.16.57_a3e4af2d.jpg)
:strip_icc():format(webp)/kly-media-production/medias/5436821/original/022017900_1765186364-pexels-anna-pou-8329902.jpg)
:strip_icc():format(webp)/kly-media-production/medias/3286636/original/093458900_1604471471-pexels-photo-4239011.jpeg)
:strip_icc():format(webp)/kly-media-production/medias/5436788/original/050733500_1765773245-Depositphotos_812580836_L.jpg)
:strip_icc():format(webp)/kly-media-production/medias/5441338/original/025527600_1765504149-Every_Day_is_A_Sunny_Day_When_I_Am_with_You.jpeg)
:strip_icc():format(webp)/kly-media-production/medias/2981728/original/010002700_1575023913-ben-white-vJz7tkHncFk-unsplash.jpg)
:strip_icc():format(webp)/kly-media-production/medias/5434360/original/073007100_1764924578-pexels-vanessa-loring-5082373.jpg)
:strip_icc():format(webp)/kly-media-production/medias/2995662/original/061514500_1576230464-juliana-malta-YwutubGmzSU-unsplash.jpg)
:strip_icc():format(webp)/kly-media-production/medias/5434439/original/085265100_1764927392-Depositphotos_835881408_L.jpg)
:strip_icc():format(webp)/kly-media-production/medias/5452175/original/053343100_1766388567-front-close-view-young-attractive-female-white-t-shirt-doing-make-up-with-slight-smile-pink-background.jpg)
:strip_icc():format(webp)/kly-media-production/medias/5362227/original/058099300_1758857362-Depositphotos_681270478_XL.jpg)
:strip_icc():format(webp)/kly-media-production/medias/5469801/original/027902300_1768185276-Screenshot_2026-01-12_at_09.32.26.png)
:strip_icc():format(webp)/kly-media-production/medias/5022084/original/003655100_1732601966-apa-itu-oktan-bensin.jpg)
:strip_icc():format(webp)/kly-media-production/medias/3150829/original/023474200_1591940789-brooke-lark-3A1etBW5cBk-unsplash.jpg)
:strip_icc():format(webp)/kly-media-production/medias/5468218/original/070585000_1767944463-SnapInsta.to_247420157_2936691426660037_1523452434376695794_n.jpg)
:strip_icc():format(webp)/kly-media-production/medias/5466866/original/095592700_1767857119-Depositphotos_123039890_XL.jpg)
:strip_icc():format(webp)/kly-media-production/medias/4324626/original/083226200_1676436372-priscilla-du-preez-L3lznpRPZbI-unsplash.jpg)
:strip_icc():format(webp)/kly-media-production/medias/5290798/original/058084800_1753157649-Depositphotos_724888352_XL.jpg)
:strip_icc():format(webp)/kly-media-production/medias/5181762/original/017749800_1744002644-Depositphotos_414070156_S.jpg)
:strip_icc():format(webp)/kly-media-production/medias/5466287/original/025720300_1767841427-IMG_7934-01.jpeg)
:strip_icc():format(webp)/kly-media-production/medias/5417131/original/095682400_1763522186-Depositphotos_565671370_XL.jpg)
:strip_icc():format(webp)/kly-media-production/medias/5318556/original/073929800_1755489328-Depositphotos_706629402_XL.jpg)
:strip_icc():format(webp)/kly-media-production/medias/5282172/original/002632900_1752467860-Depositphotos_712660360_XL.jpg)
![Buat kamu yang sering males bawa tas, this might be your new everyday essential. [@ninjalabsx].](https://cdn1-production-images-kly.akamaized.net/JmPHj_AUqE0OF1amNJyGoeHJEqw=/320x217/smart/filters:quality(75):strip_icc():format(webp)/kly-media-production/medias/5431872/original/017250000_1764749869-SnapInsta.to_464376048_18021797717608173_6667940723387353151_n.jpg)
:strip_icc():format(webp)/kly-media-production/medias/5428609/original/023315200_1764553676-MIUCCIA_PRADA_HONORED_WITH_THE_LIFETIME_ACHIEVEMENT_AWARD_AT_THE_FASHION_TRUST_ARABIA_AWARDS_CEREMONY_2025__1_.jpg)
![Jennie BLACKPINK Berkolaborasi dengan Haribo. [@jennierubyjane]](https://cdn1-production-images-kly.akamaized.net/aV4GRPgoYJp6CPnLCXQZBu2qm5o=/320x217/smart/filters:quality(75):strip_icc():format(webp)/kly-media-production/medias/5426470/original/076048800_1764306557-IMG_1424_2_.jpeg)
:strip_icc():format(webp)/kly-media-production/medias/5426531/original/055682400_1764308639-Screenshot_2025-11-28_123440.png)
:strip_icc():format(webp)/kly-media-production/medias/5426229/original/035642400_1764297400-tong-su-1xx1hq2RJts-unsplash.jpg)
:strip_icc():format(webp)/kly-media-production/medias/5426004/original/019931600_1764246120-Nov_27__2025__07_20_48_PM.png)
:strip_icc():format(webp)/kly-media-production/medias/5069280/original/062057800_1735296697-asian-mother-are-quarreling-daughters-home-family-relationship-concept.jpg)
:strip_icc():format(webp)/kly-media-production/medias/5453113/original/001165000_1766470409-WhatsApp_Image_2025-12-23_at_12.19.35__1_.jpeg)
:strip_icc():format(webp)/kly-media-production/medias/5335102/original/017863700_1756786957-little-desperate-girl-looking-panic-holding-her-head-with-both-hands.jpg)
:strip_icc():format(webp)/kly-media-production/medias/5271472/original/044739400_1751512018-front-view-two-sisters-playing-home-with-toys.jpg)
:strip_icc():format(webp)/kly-media-production/medias/5468300/original/009638000_1767946480-Depositphotos_485939088_XL.jpg)
:strip_icc():format(webp)/kly-media-production/medias/5412723/original/076594300_1763102766-IMG-20251114-WA0008.jpg)
:strip_icc():format(webp)/kly-media-production/medias/5452876/original/099231900_1766461807-FIMELA_FASHION_-_Lanvin_at_Its_Most_Glam__IG_Feed__1_.jpg)
:strip_icc():format(webp)/kly-media-production/medias/3221935/original/084901000_1598605805-pexels-andrea-piacquadio-975250.jpg)
:strip_icc():format(webp)/kly-media-production/medias/3353795/original/056458100_1611093586-beautiful-elegance-luxury-fashion-pink-women-handbag_1203-7653.jpg)
:strip_icc():format(webp)/kly-media-production/medias/5416947/original/076643700_1763480454-IMG_4832.jpg)
![Tasya Farasya memilih gaun rancangan Sapto Djojokartiko berwarna nude lembut yang memancarkan aura elegan dan feminin. Detail renda dan bordir bunga yang menjalar di seluruh permukaan dress memberi kesan etereal, seolah Tasya melangkah dengan sentuhan magis di setiap langkahnya. [@tasyafarasya].](https://cdn1-production-images-kly.akamaized.net/OqVnUTOel9W48rzP0VmUfvkZ43Y=/0x0:1080x608/320x217/filters:quality(75):strip_icc():format(webp)/kly-media-production/medias/5401013/original/058481200_1762154715-SnapInsta.to_572802011_18541861090004502_6731982056297577983_n.jpg)
:strip_icc():format(webp)/kly-media-production/medias/5395367/original/014527000_1761705838-FIMELA_FASHION_-_BLUSH_ELEGANCE_TO_SCULPTED_GRACE__IG_FEED_ls__1_.jpg)
:strip_icc():format(webp)/kly-media-production/medias/4691704/original/038668600_1702980308-Bawaslu_tangani_pelanggaran_kampanye-FANANI_12.jpg)
:strip_icc():format(webp)/kly-media-production/medias/5467311/original/035350200_1767870813-Screenshot_2026-01-08_174617.png)
:strip_icc():format(webp)/kly-media-production/medias/4938922/original/005732500_1725702494-Screenshot_20240907_142113_WhatsApp.jpg)
:strip_icc():format(webp)/kly-media-production/medias/5470508/original/073891900_1768208322-Tangkapan_layar_video_viral_warga_geruduk_penginapan_di_Bandar_Lampung.jpg)
:strip_icc():format(webp)/kly-media-production/medias/5386099/original/078137900_1760954214-4.jpg)
:strip_icc():format(webp)/kly-media-production/medias/5470368/original/010626800_1768203563-IMG_8075.jpeg)
:strip_icc():format(webp)/kly-media-production/medias/5468124/original/051005700_1767942064-Depositphotos_636857656_XL.jpg)
:strip_icc():format(webp)/kly-media-production/medias/5470555/original/094778700_1768210298-asasa.jpg)
:strip_icc():format(webp)/kly-media-production/medias/5468179/original/020237100_1767942883-Depositphotos_708163156_XL.jpg)
:strip_icc():format(webp)/kly-media-production/medias/5230324/original/062328200_1747988979-f.jpg)