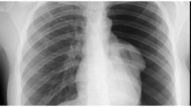
Kesehatan merupakan harta paling berharga dalam kehidupan kita. Selayaknya kita menjaga dan memperhatikan gejala-gejala yang ditampakkan oleh tubuh kita. Salah satunya adalah gejala dari penyakit paru-paru.
Kondisi paru-paru yang lemah dapat menjadi indikasi COPD atau Chronic Obstructive Pulmonary Disease. Entah apakah anda seorang perokok, mantan perokok atau pun yang merasa sehat-sehat saja, perhatikan sinyal-sinyal masalah paru-paru Anda. Dilansir dari caring.com, berikut 7 tanda paru-paru Anda mengalami masalah serius.
Advertisement
Nafas Pendek
Byron Thomashow, seorang profesor dari Columbia University Medical Center mengatakan, "Banyak orang mengalami nafas yang pendek. Kebanyakan mereka hanya berpikir bahwa 'aku sudah tua' atau 'sepertinya bentuk tubuhku yang berubah'. Mereka tidak melakukan apapun untuk mencari tahu penyebabnya". Menurut Byron, bahkan jika Anda terengah-engah ketika menuju ke kamar mandi, Anda patut waspada.
Frekuensi Batuk
Setiap orang akan mengalami batuk sesekali, tetapi jika Anda merasa Anda terlalu sering batuk dalam sehari dan menjadi kronis, inilah saatnya Anda menemui dokter. COPD dapat mengakibatkan peradangan pada tabung bronkial dan kantung-kantung kecil yang disebut alveoli. Hal ini mengakibatkan kurang fleksibel dan elastisnya tabung bronkial dan alveoli yang melapisi paru-paru. Jika hal ini terjadi, dinding saluran udara akan menebal dan memproduksi lebih banyak lendir dari biasanya. Akibatnya paru-paru Anda akan tersumbat.
Advertisement
Sakit Kepala di Pagi Hari
Salah satu gejala COPD adalah bangun tidur di malam hari dengan kepala yang berdenyut-denyut. Norman Edelman, kepala media American Lung Association mengatakan hal ini dikarenakan Anda tidak cukup bernafas di malam hari dan karbondioksida muncul saat Anda sedang tidur. Penumpukan karbon dioksida menyebabkan pembuluh darah di otak membesar, mengakibatkan sakit kepala. Wah, hati-hati, Ladies.
Pembengkakan
Seiring dengan perkembangan penyakit COPD, hal ini sering dikaitkan dengan penyakit gagal jantung. Sistem peredaran darah tidak mendapatkan oksigen yang dibutuhkan untuk kesehatan Anda. Hal ini menyebabkan penumpukan cairan, yang paling mudah dikenali dengan kaki dan pergelangan kaki yang bengkak. "Seiring dengan kondisi paru-paru yang memburuk, kemampuan jantung untuk memompa akan semakin melemah," ujar Norman Edelman dari American Lung Association.
Advertisement
Masalah Tidur
Apakah Anda menumpuk bantal untuk menaikkan dada dan kepala agar lebih mudah untuk bernafas saat tidur? Atau apakah Anda tidur di kursi karena lebih mudah bernafas pada posisi duduk? Ada juga kemungkinan Anda tidur telentang tetapi bangun merasa tidak sehat bahkan pusing. Bagi pengidap COPD, tidur merupakan hal yang sulit karena mereka akan batuk sepanjang malam, tiba-tiba terbangun atau tidur nyenyaknya terganggu.
Tes Barrel Chest
Salah satu tes yang digunakan oleh dokter adalah tes Barrel Chest. Tes ini dilakukan dengan cara mengangkat tangan di atas kepala sembari bernafas. Hal ini dilakukan untuk mencari perubahan postur dan bentuk tubuh tertentu yang cenderung berkembang sebagai gejala sekunder COPD.
Sebagai akibat dari peradangan kronis, paru-paru membesar dan mendorong diafragma ke bawah, membuat diafragma sulit berkontraksi secara efisien. Ketika ini terjadi, pengidap COPD tidak sadar berusaha memperbaiki kondisinya dengan bersandar ke depan saat duduk dengan tangan di atas lutut atau di depan mereka. Postur ini menstabilkan dada bagian atas dan bahu, sehingga lebih mudah untuk menggunakan otot-otot pernapasan.
Advertisement
Warna Biru Pada Kuku
Seiring waktu, jika darah Anda tidak mengedarkan cukup oksigen ke seluruh tubuh Anda, bibir dan kuku dapat menjadi kebiru-biruan. Kadang-kadang warna tersebut, atau yang lebih sering disebut cyanosis, muncul di bagian bantalan kuku. Darah yang kaya oksigen berwarna merah cerah, sementara yang kurang oksigen berubah gelap dan berwarna kebiruan. Hal ini terjadi jika kadar oksigen dalam darah drop di bawah 90 persen.


:strip_icc():format(webp)/kly-media-production/medias/2447959/original/069046000_1543035376-huffingtonpostcom.jpg)
:strip_icc():format(webp)/kly-media-production/medias/2447960/original/014602500_1543035377-dailyrecordscouk.jpg)
:strip_icc():format(webp)/kly-media-production/medias/2447961/original/065808600_1543035377-bloodpressuresolutioncom.jpg)
:strip_icc():format(webp)/kly-media-production/medias/2447962/original/019284000_1543035378-entirepodiatrycomau.jpg)
:strip_icc():format(webp)/kly-media-production/medias/2447963/original/086298800_1543035378-valleysleepcentercom.jpg)
:strip_icc():format(webp)/kly-media-production/medias/2447964/original/034122700_1543035379-philosophyinactioncom.jpg)
:strip_icc():format(webp)/kly-media-production/medias/2447965/original/084497600_1543035379-dermquestcom1.jpg)
:strip_icc():format(webp)/kly-media-production/medias/5465029/original/070699400_1767756811-Lagidiskon__desktop-mobile__356x469_-_Button_Share__1_.png)
:strip_icc():format(webp)/kly-media-production/medias/5418673/original/032439000_1763624709-high-angle-womens-having-lunch.jpg)
:strip_icc():format(webp)/kly-media-production/medias/5501566/original/058091000_1770946817-Depositphotos_641265014_L.jpg.jpeg)
:strip_icc():format(webp)/kly-media-production/medias/5501555/original/058613600_1770945749-Depositphotos_855475316_L.jpg.jpeg)
:strip_icc():format(webp)/kly-media-production/medias/5501560/original/049832000_1770946269-Depositphotos_189857102_L.jpg.jpeg)
:strip_icc():format(webp)/kly-media-production/medias/5494109/original/059955800_1770278846-Depositphotos_467200236_S.jpg)
:strip_icc():format(webp)/kly-media-production/medias/5492159/original/054788400_1770124951-WhatsApp_Image_2026-02-03_at_18.27.37.jpeg)
:strip_icc():format(webp)/kly-media-production/medias/5494164/original/091572400_1770279846-Depositphotos_389184090_S.jpg)
:strip_icc():format(webp)/kly-media-production/medias/5499280/original/056469900_1770781913-cropped-e866d747-e2cb-4ec4-b44f-acea415c6cc6.jpg)
:strip_icc():format(webp)/kly-media-production/medias/5492144/original/066339500_1770124140-WhatsApp_Image_2026-02-03_at_18.27.37__1_.jpeg)
:strip_icc():format(webp)/kly-media-production/medias/5490699/original/021266800_1770021961-Depositphotos_321262424_L.jpg)
:strip_icc():format(webp)/kly-media-production/medias/5490684/original/052362200_1770021120-Depositphotos_301379960_L.jpg)
:strip_icc():format(webp)/kly-media-production/medias/5442171/original/068778500_1765530125-pexels-limoo-3859717-16759203.jpg)
:strip_icc():format(webp)/kly-media-production/medias/5371011/original/091340100_1759628987-w.jpg)
:strip_icc():format(webp)/kly-media-production/medias/4851388/original/028483100_1717403001-nail-care-girl-drips-oil-with-vitamins-her-nails_128937-1273.jpg)
:strip_icc():format(webp)/kly-media-production/medias/1643793/original/042537800_1499657222-061761700_1492492963-Kuku1.jpg)
:strip_icc():format(webp)/kly-media-production/medias/1225662/original/047217300_1462539167-kfc-nail-polish.0.0.jpg)
![Rayakan Idulfitri dengan nyaman dan tetap stylish melalui koleksi LifeWear dari UNIQLO. [Dok/UNIQLO Indonesia].](https://cdn1-production-images-kly.akamaized.net/28e8fwnqNgunPhCz_Gqgk4wCqhI=/320x217/smart/filters:quality(75):strip_icc():format(webp)/kly-media-production/medias/5525255/original/067872000_1773036238-article_bank.jpg)
:strip_icc():format(webp)/kly-media-production/medias/5525163/original/072297300_1773033564-WhatsApp_Image_2026-03-09_at_11.48.23.jpg)
:strip_icc():format(webp)/kly-media-production/medias/5172324/original/079783800_1742720722-5-model-baju-lebaran-warna-burgundy-yan-7edb48.jpg)
:strip_icc():format(webp)/kly-media-production/medias/5525434/original/003926900_1773042586-IMG_5990_1_.jpeg)
:strip_icc():format(webp)/kly-media-production/medias/5524418/original/070313300_1772945912-glass-milk-wood.jpg)
:strip_icc():format(webp)/kly-media-production/medias/5524652/original/016596800_1772963486-Foto_1.jpg)
:strip_icc():format(webp)/kly-media-production/medias/5497363/original/083699500_1770625924-pexels-sarah-chai-7263027.jpg)
:strip_icc():format(webp)/kly-media-production/medias/5522695/original/046208300_1772773397-IMG_5732_1_.jpeg)
![Intip cara tanjung kelayang reserve merawat ekosistem pulau. [Dok/Tanjung Kelayang Reserve].](https://cdn1-production-images-kly.akamaized.net/co6ikyYJZDf_FDw3kxFiN53_EQQ=/320x217/smart/filters:quality(75):strip_icc():format(webp)/kly-media-production/medias/5521388/original/034413300_1772689049-WhatsApp_Image_2026-03-05_at_12.29.39__2_.jpeg)
:strip_icc():format(webp)/kly-media-production/medias/5520552/original/000367800_1772620103-Valrhona_Cocoa_Forest__Bali.jpg)
:strip_icc():format(webp)/kly-media-production/medias/5519263/original/058999000_1772541223-CLEAN_BEAUTY_MERGE_PRODUCT.jpg)
:strip_icc():format(webp)/kly-media-production/medias/3977835/original/066021800_1648524608-pexels-ahmed-aqtai-2233416_1_.jpg)
:strip_icc():format(webp)/kly-media-production/medias/5275206/original/016619700_1751868718-mother-daughter-studying-alphabet.jpg)
:strip_icc():format(webp)/kly-media-production/medias/5490544/original/098026000_1770015413-Depositphotos_506933790_XL.jpg)
:strip_icc():format(webp)/kly-media-production/medias/5457669/original/070899100_1767013830-woman-with-stomachache-puts-her-hands-her-stomach-covers-her-mouth.jpg)
:strip_icc():format(webp)/kly-media-production/medias/3917538/original/022218100_1643350868-henry-co-yxfGrQvLzJo-unsplash_1_.jpg)
:strip_icc():format(webp)/kly-media-production/medias/5325365/original/031645100_1755963944-front-view-young-female-red-shirt-suffers-from-physical-threats-violence-light-space-female-cloth-photo_11zon.jpg)
:strip_icc():format(webp)/kly-media-production/medias/4548968/original/084869800_1692782126-phong-duong-VAeTRywn6EA-unsplash.jpg)
:strip_icc():format(webp)/kly-media-production/medias/3370880/original/020826900_1612754209-WhatsApp_Image_2021-02-08_at_08.16.22.jpeg)
:strip_icc():format(webp)/kly-media-production/medias/5448678/original/076312300_1766037315-shurkin_son.jpg)
:strip_icc():format(webp)/kly-media-production/medias/5115822/original/007897700_1738324654-Screenshot_2025-01-31_184712.jpg)
![Kebahagiaan sejati anak datang dari nilai-nilai kehidupan yang mereka pelajari sejak dini. [Dok/freepik.com/tirachardz]](https://cdn1-production-images-kly.akamaized.net/ljNJqw3bP6Md8s3uAbPz6YnfFWo=/320x217/smart/filters:quality(75):strip_icc():format(webp)/kly-media-production/medias/5411571/original/042514100_1763016621-happy-cheerful-asian-family-dad-mom-daughter-playing-funny-game-as-doctor-having-fun-sofa-home.jpg)
:strip_icc():format(webp)/kly-media-production/medias/5496020/original/032484200_1770456475-wirestock.jpg)

:strip_icc():format(webp)/kly-media-production/medias/5479072/original/041763200_1768967463-raychan-YT1LV3U4ViA-unsplash.jpg)
:strip_icc():format(webp)/kly-media-production/medias/5477296/original/044809300_1768815162-pexels-yi-ren-57040649-25551423.jpg)
:strip_icc():format(webp)/kly-media-production/medias/5477191/original/015898700_1768811410-pexels-olly-3807757.jpg)
:strip_icc():format(webp)/kly-media-production/medias/5477138/original/069417700_1768809895-pexels-yi-ren-57040649-34990362.jpg)
:strip_icc():format(webp)/kly-media-production/medias/5525784/original/030742000_1773063350-94f229f1-4689-41e1-96a8-e029e9ffb07b.jpg)
:strip_icc():format(webp)/kly-media-production/medias/5507725/original/099129700_1771540942-4.jpg)
:strip_icc():format(webp)/kly-media-production/medias/5525747/original/056285600_1773058110-IMG_9012.jpg)
:strip_icc():format(webp)/kly-media-production/medias/5481615/original/091930400_1769139822-3.jpg)
:strip_icc():format(webp)/kly-media-production/medias/5525630/original/072160100_1773047102-WhatsApp_Image_2026-03-09_at_16.02.43.jpeg)
:strip_icc():format(webp)/kly-media-production/medias/5525497/original/052186200_1773043838-WhatsApp_Image_2026-03-09_at_14.47.56.jpeg)
:strip_icc():format(webp)/kly-media-production/medias/5525800/original/034618400_1773064808-WhatsApp_Image_2026-03-07_at_11.11.02.jpeg)
:strip_icc():format(webp)/kly-media-production/medias/5525764/original/099176800_1773063087-WhatsApp_Image_2026-03-07_at_09.40.58.jpeg)
![Raisa Andriana tampil elegan dengan sentuhan utilitarian yang modern. Ia mengenakan jaket safari berwarna beige dengan detail kantong besar yang memberikan kesan struktural. Jaket tersebut dipadukan dengan kemeja biru muda serta dasi ramping yang menambah nuansa tailored. Raisa melengkapi penampilannya dengan celana hitam berpotongan lurus dan sepatu loafers beraksen metalik khas Onitsuka Tiger, menciptakan gaya sophisticated yang tetap edgy. [Dok/Onitsuka Tiger].](https://cdn0-production-images-kly.akamaized.net/NAocia4pjXrq1wmpfJ8XONmn56Q=/80x80/smart/filters:quality(75):strip_icc():format(webp)/kly-media-production/medias/5525512/original/089004300_1773044465-Web_Photo_Editor__29_.jpg)
:strip_icc():format(webp)/kly-media-production/medias/5525756/original/008452700_1773060584-Screenshot_2026-03-09_193535.jpg)