Ladies, gaya hidup yang tidak sehat serta meningkatnya polusi udara sekitar, bisa berdampak langsung pada kesehatan Anda. Bahkan tanpa disadari, polutan atau makanan yang masuk ke dalam tubuh Anda ternyata sedikit demi sedikit menjadi sarang penyakit dan mulai menggerogoti tubuh Anda. Banyak orang yang baru menyadari sedang mengidap penyakit berbahaya ketika keadaannya mulai memburuk atau pada tingkatan parah yang sulit untuk disembuhkan.
Beberapa penyakit yang mengerikan jika bisa terdeteksi dini, sebenarnya bisa disembuhkan. Namun pada umumnya penyakit-penyakit tersebut tidak memunculkan gejala yang signifikan ketika masih dalam taraf belum parah. Biasakan hidup sehat dan selalu tanggap terhadap kondisi tubuh Anda, sangat membantu Anda untuk mendeteksi kemungkinan adanya penyakit berbahaya di dalam tubuh. Berikut ini dilansir dari listverse.com, beberapa jenis penyakit mengerikan yang jarang disadari oleh pengidapnya. Simak yuk Ladies.
Advertisement
Penyakit Pencernaan Entero Auto-Deliquescence
Pencernaan di dalam tubuh manusia sebenarnya menghasilkan cairan yang sangat kuat. Asam lambung yang terisolasi di dalam tubuh sebenarnya sangat cukup mampu untuk melunakkan kayu. Namun struktur sel unik yang melindungi lambung, menjaga asam lambung dari mencerna tubuhnya sendiri. Lendir melindungi sel-sel tubuh dan menghasilkan cairan alkali yang menetralkan asam lambung. Namun jika asam lambung bisa melewati pertahanan ini, maka Anda akan menderita ulkus peptikum.
Yang sangat berbahaya yaitu ketika asam lambung sudah melewati pembuluh pencernaan, yang terjadi adalah masalah pada pencernaan Entero Auto-Deliquescence, suatu kondisi di mana asam melarutkan organ-organ internal Anda. Akibatnya Anda akan mengalami kegagalan organ. Inilah yang kemudian membuat nyawa sulit ditolong. Anda bisa melakukan latihan untuk mengetahui kemungkinan Anda rentan atau tidak terhadap penyakit ini. Dalam posisi duduk cobalah untuk membungkuk ke depan hingga kepala Anda menyentuh kaki. Cobalah untuk mengendurkan otot-otot perut Anda dan kemudian sentuh bagian perut di bawah tulang rusuk. Jika daerah ini terasa kaku, maka tandanya Anda tidak beresiko terkena penyakit ini.
Pengecilan Peabody
Apakah Anda pernah mengalami migrain sangat buruk? Atau mungkin Anda merasa topi yang biasa Anda pakai jadi lebih longgar? Apakah ketika Anda menyentuh telinga kanan dengan ibu jari kemudian kelingking Anda bisa menyentuh bagian mata sebelah kiri? Jika demikian berarti Anda mengalami gejala penyakit pengecilan peabody yang sangat berbahaya.
Penderita pertama penyakit ini adalah Mr. Whittaker Peabody. Dia adalah orang yang dipilih oleh Thomas Edison ketika gelombang radio pertama kali ditemukan. Edison melakukan percobaan untuk menguji dampak buruk sinyal radio. Setelah beberapa tahun melakukan kontak langsung dengan sinyal radio, kepala Mr. Peabody mulai menyusut, selain itu dia merasakan migrain yang sangat luar biasa. Kondisi seperti ini berlanjut hingga kepalanya menyusut hingga sebesar kepalan tangan. Jadi mulai saat ini cobalah untuk mengurangi radiasi langsung dengan alat-alat elektronik Anda.
Advertisement
Adulescens Inferno
Munculnya jerawat sebenarnya adalah bagian normal dari perjalanan Anda tumbuh dewasa. Hingga saat ini belum diketahui apa penyebab utamanya, sementara ini bakteri dari hormon dianggap menjadi penyebab timbulnya jerawat. Namun pernah ada penderita jerawat yang sangat parah pertama kali pada tahun 1988 di sebuah desa kecil di La Salina, Kolombia. Setiap kali jerawatnya meletus, cairan akan menular ke kulit terdekatnya, bahkan akhirnya menutupi seluruh wajah.
Virus penyebab jerawat ini bergerak sangat cepat ke bagian kulit lebih dalam bahkan bisa mencapai otot-otot pipi, hidung, tenggorokan, dan mulut. Ketika jerawat ini diolesi dengan krim atau obat-obatan, maka jerawat-jerawat ini akan membengkak lebih besar. Jika dibiarkan tanpa perawatan, jerawat ini bisa menyebabkan cacat serius pada wajah, bahkan bisa muncul pada lidah dan yang sangat mengerikan, keadaan ini bisa menyebabkan nyawa melayang.
Pulmonary Lenticellular Ichthyosis
Di dalam paru-paru manusia terdapat jaringan spons yang berperilaku sangat fleksibel ketika Anda bernapas. Jaringan ini dirancang untuk memungkinkan Anda menarik lebih banyak oksigen setiap kali bernapas. Namun ketika jaringan tersebut tidak berperilaku seperti yang seharusnya, hal mengerikan akan terjadi. Pada tahun 1983, banyak pasien yang menderita kasus pulmonary lenticellular ichthyosis. Lapisan luar dan jaringan paru-paru mengeras, membentuk lapisan yang menyerupai kulit pohon.
Hal yang serius yaitu untuk mendeteksi penyakit ini satu-satunya jalan dengan melakukan proses otopsi. Lalu bagaimana mungkin, karena otopsi sendiri biasanya digunakan untuk kasus pembunuhan. Dalam sebuah penelitian, lapisan kulit paru-paru ini sangat tebal dan kuat, bahkan tahan ketika dipukul dengan palu. Dan yang sangat ironis ternyata perokok tampaknya kebal dengan hal apapun yang menyebabkan penyakit ini. Akhirnya banyak yang beranggapan bahwa penyebab penyakit ini adalah virus yang rentan terhadap karbon monoksida.
Advertisement
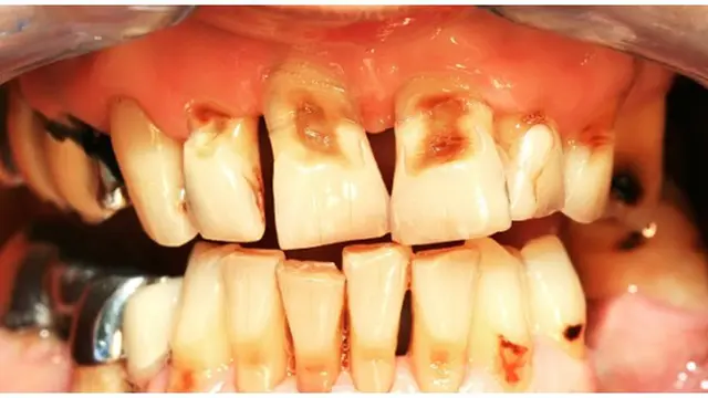
Sudden Onset Dental Collapse
Pada tahun 1936, Joyce Merrick sedang makan siang di sebuah restoran, tiba-tiba dirinya merasa sedang menggigit sesuatu yang keras dan tak lain adalah giginya. Selanjutnya Merrick merasa semua giginya terasa longgar dan goyah. Beberapa saat kemudian, jatuh lagi gigi di tangannya. Dalam waktu 5 menit, semua gigi lepas kecuali dua gigi yang tersisa. Dokter melakukan diagnosa bahwa semua saraf telah mati dan darah berhenti mengalir pada jaringan sekitar gigi. Ini menyebabkan gigi lemah dan tidak stabil.
Yang sangat aneh, selama berbulan-bulan menjelang kejadian tersebut, Merrick sering bermimpi jika giginya seperti terlepas semua dengan sangat cepat dan sisanya hancur di dalam mulutnya. Sejak kejadian yang menimpa Merrick, korban berjatuhan dan melaporkan mimpi yang sama. Namun sayang, penyebab terjadinya penyakit ini tidak diketahui dengan jelas. Akhirnya pada tahun 1980, korban yang mengalami penyakit lepasnya gigi ini melakukan penyuluhan agar siapapun yang bermimpi seperti yang mereka alami agar segera pergi ke dokter.
Credula Cerebrum Morbo
Ini adalah jenis penyakit otak degeneratif yang disebabkan oleh virus mendax. Terlihat tonjolan aneh dalam beberapa kasus belakangan ini. Penyakit ini ternyata juga menular, bahkan pada berbagai usia, jenis kelamin, dan suku. Yang sangat disayangkan yaitu banyak orang yang menganggap gejala dini penyakit ini sangat sepele hingga akhirnya muncul gejala yang parah dan memerlukan pengobatan yang serius. Gejala yang ditimbulkan termasuk iritasi mata, penglihatan kabur, sakit punggung dan leher, sakit kepala, dan kelelahan. Jika dibiarkan, virus akan menyerang neuron otak kemudian dalam jangka waktu tertentu menyebabkan konsentrasi menurun, pelupa, gagal mengenali orang-orang yang awalnya sudah akrab, tempat, dan hal-hal lainnya.
Akhirnya virus menghancurkan begitu banyak sel otak dan bahkan fungsi organ ini bisa berhenti. Namun hingga kini belum ada obat yang benar-benar tepat untuk menanggulangi penyakit ini. Korban yang tidak tertolong bisa meninggal dalam beberapa bulan kemudian, namun ada juga yang membuat korban menderita hingga usia 70 tahun. Jika Anda mengalami gejala seperti di atas, sebaiknya segera kunjungi dokter untuk melakukan pemeriksaan.


:strip_icc():format(webp)/kly-media-production/medias/2454937/original/026946200_1543122330-penyakit-mengerikan-ini-jarang-sekali-disadari-kehadirannya-waspadalah.jpg)
:strip_icc():format(webp)/kly-media-production/medias/2454938/original/055478200_1543122331-1penyakit.jpg)
:strip_icc():format(webp)/kly-media-production/medias/2454939/original/006047900_1543122332-2penyakit.jpg)
:strip_icc():format(webp)/kly-media-production/medias/2454940/original/061150800_1543122332-3penyakit.jpg)
:strip_icc():format(webp)/kly-media-production/medias/2454941/original/013352700_1543122333-4penyakit.jpg)
:strip_icc():format(webp)/kly-media-production/medias/2454942/original/069364700_1543122333-5penyakit.jpg)
:strip_icc():format(webp)/kly-media-production/medias/2454943/original/019077800_1543122334-6penyakit.jpg)
:strip_icc():format(webp)/kly-media-production/medias/1371647/original/089298800_1476255507-DKI_Jakarta.jpg)
:strip_icc():format(webp)/kly-media-production/medias/5398914/original/068803600_1761900361-Lagidiskon__desktop-mobile__356x469_-_Button_Share.png)
:strip_icc():format(webp)/kly-media-production/medias/5431900/original/091193100_1764750582-pexels-shiny-diamond-3762453.jpg)
:strip_icc():format(webp)/kly-media-production/medias/5431713/original/096158000_1764817864-Depositphotos_402440488_L.jpg)
:strip_icc():format(webp)/kly-media-production/medias/5430105/original/012582200_1764652234-WhatsApp_Image_2025-12-02_at_12.02.51.jpeg)
:strip_icc():format(webp)/kly-media-production/medias/5429070/original/046629500_1764572898-IMG-20251201-WA0006.jpg)
:strip_icc():format(webp)/kly-media-production/medias/5424336/original/002212400_1764139673-WhatsApp_Image_2025-11-26_at_13.45.51__1_.jpeg)
:strip_icc():format(webp)/kly-media-production/medias/5426830/original/091991200_1764318859-Depositphotos_677416934_L.jpg)

:strip_icc():format(webp)/kly-media-production/medias/5422904/original/014614300_1764047398-Depositphotos_837198304_L.jpg)
:strip_icc():format(webp)/kly-media-production/medias/5271915/original/037909700_1751527182-1000106578.jpg)
:strip_icc():format(webp)/kly-media-production/medias/5145866/original/092183600_1740739179-WhatsApp_Image_2025-02-28_at_5.36.31_PM.jpeg)
:strip_icc():format(webp)/kly-media-production/medias/5414800/original/033232300_1763351406-Depositphotos_189086874_L.jpg)
:strip_icc():format(webp)/kly-media-production/medias/5417351/original/036772900_1763530484-IMG-20251119-WA0006.jpg)
:strip_icc():format(webp)/kly-media-production/medias/5427155/original/057145700_1764329322-Premium_Headline_Mobile_Asian_Television_Awards_2025.png)
:strip_icc():format(webp)/kly-media-production/medias/5418764/original/060394700_1763628124-IMG-20251120-WA0053.jpg)
:strip_icc():format(webp)/kly-media-production/medias/5415932/original/096055700_1763435984-54896609844_a9b511163a_k.jpg)
:strip_icc():format(webp)/kly-media-production/medias/5415857/original/026534100_1763433527-54892387830_3cd39d0423_k.jpg)
:strip_icc():format(webp)/kly-media-production/medias/5433800/original/036697500_1764902235-photo-grid_-_2025-12-05T092958.895.jpg)
:strip_icc():format(webp)/kly-media-production/medias/5383770/original/064662600_1760691483-person-serving-cup-coffee-with-metal-jug.jpg)
:strip_icc():format(webp)/kly-media-production/medias/3472306/original/061387500_1622720228-1.jpg)
:strip_icc():format(webp)/kly-media-production/medias/5432625/original/061031200_1764817850-Lenzing_dan_OceanSafe_Luncurkan_Tekstil_Berkelanjutan_Generasi_Baru_dengan_Teknologi_TENCEL____Lyocell_A100_dan_naNea.jpeg)
:strip_icc():format(webp)/kly-media-production/medias/5431096/original/069632600_1764726720-Foto_3.jpg)
:strip_icc():format(webp)/kly-media-production/medias/5430819/original/058391300_1764675223-WhatsApp_Image_2025-12-01_at_23.03.52.jpeg)
:strip_icc():format(webp)/kly-media-production/medias/5393892/original/098624700_1761620089-Depositphotos_444183002_XL.jpg)
:strip_icc():format(webp)/kly-media-production/medias/5288117/original/033877800_1752892826-Depositphotos_567473778_XL.jpg)
:strip_icc():format(webp)/kly-media-production/medias/5276501/original/014846300_1751953910-Depositphotos_734386598_XL.jpg)
:strip_icc():format(webp)/kly-media-production/medias/5059629/original/036752400_1734746718-DSC02196.jpg)
:strip_icc():format(webp)/kly-media-production/medias/4812590/original/088755500_1714031325-IMG_2195.jpeg)
:strip_icc():format(webp)/kly-media-production/medias/5431227/original/006632000_1764732396-red-cat-studio-xzwk_z2yBo0-unsplash.jpg)
![Buat kamu yang sering males bawa tas, this might be your new everyday essential. [@ninjalabsx].](https://cdn1-production-images-kly.akamaized.net/JmPHj_AUqE0OF1amNJyGoeHJEqw=/320x217/smart/filters:quality(75):strip_icc():format(webp)/kly-media-production/medias/5431872/original/017250000_1764749869-SnapInsta.to_464376048_18021797717608173_6667940723387353151_n.jpg)
:strip_icc():format(webp)/kly-media-production/medias/5428609/original/023315200_1764553676-MIUCCIA_PRADA_HONORED_WITH_THE_LIFETIME_ACHIEVEMENT_AWARD_AT_THE_FASHION_TRUST_ARABIA_AWARDS_CEREMONY_2025__1_.jpg)
![Jennie BLACKPINK Berkolaborasi dengan Haribo. [@jennierubyjane]](https://cdn1-production-images-kly.akamaized.net/aV4GRPgoYJp6CPnLCXQZBu2qm5o=/320x217/smart/filters:quality(75):strip_icc():format(webp)/kly-media-production/medias/5426470/original/076048800_1764306557-IMG_1424_2_.jpeg)
:strip_icc():format(webp)/kly-media-production/medias/5426531/original/055682400_1764308639-Screenshot_2025-11-28_123440.png)
:strip_icc():format(webp)/kly-media-production/medias/5426229/original/035642400_1764297400-tong-su-1xx1hq2RJts-unsplash.jpg)
:strip_icc():format(webp)/kly-media-production/medias/5426004/original/019931600_1764246120-Nov_27__2025__07_20_48_PM.png)
:strip_icc():format(webp)/kly-media-production/medias/5404227/original/077206700_1762399533-young-boy-girl-planting-seeds-home.jpg)
:strip_icc():format(webp)/kly-media-production/medias/5404205/original/043168200_1762398414-IMG-20251106-WA0012.jpg)
![Kehangatan Tasya Farasya Bersama Kedua Anaknya. [@tasyafarasya]](https://cdn1-production-images-kly.akamaized.net/bX-j5y-afqjWHRnL3uobqwTutn8=/320x217/smart/filters:quality(75):strip_icc():format(webp)/kly-media-production/medias/5434624/original/091228100_1764936416-IMG_1772_1_.jpeg)
:strip_icc():format(webp)/kly-media-production/medias/2385454/original/079349900_1539755406-priscilla-du-preez-234148-unsplash.jpg)
:strip_icc():format(webp)/kly-media-production/medias/5424870/original/031623300_1764162763-derek-owens-I3UQSz13T9A-unsplash.jpg)
:strip_icc():format(webp)/kly-media-production/medias/3407497/original/070701200_1616386662-WhatsApp_Image_2021-03-22_at_10.39.20__1_.jpeg)
:strip_icc():format(webp)/kly-media-production/medias/3221935/original/084901000_1598605805-pexels-andrea-piacquadio-975250.jpg)
:strip_icc():format(webp)/kly-media-production/medias/3353795/original/056458100_1611093586-beautiful-elegance-luxury-fashion-pink-women-handbag_1203-7653.jpg)
:strip_icc():format(webp)/kly-media-production/medias/5416947/original/076643700_1763480454-IMG_4832.jpg)
![Tasya Farasya memilih gaun rancangan Sapto Djojokartiko berwarna nude lembut yang memancarkan aura elegan dan feminin. Detail renda dan bordir bunga yang menjalar di seluruh permukaan dress memberi kesan etereal, seolah Tasya melangkah dengan sentuhan magis di setiap langkahnya. [@tasyafarasya].](https://cdn1-production-images-kly.akamaized.net/OqVnUTOel9W48rzP0VmUfvkZ43Y=/0x0:1080x608/320x217/filters:quality(75):strip_icc():format(webp)/kly-media-production/medias/5401013/original/058481200_1762154715-SnapInsta.to_572802011_18541861090004502_6731982056297577983_n.jpg)
:strip_icc():format(webp)/kly-media-production/medias/5395367/original/014527000_1761705838-FIMELA_FASHION_-_BLUSH_ELEGANCE_TO_SCULPTED_GRACE__IG_FEED_ls__1_.jpg)
:strip_icc():format(webp)/kly-media-production/medias/5231281/original/035535800_1748077534-WhatsApp_Image_2025-05-24_at_4.02.19_PM.jpeg)
:strip_icc():format(webp)/kly-media-production/medias/5434631/original/080864300_1764936738-Bupati_Aceh_Selatan.png)
:strip_icc():format(webp)/kly-media-production/medias/5434698/original/075693800_1764947628-1000017326__1_.jpg)
:strip_icc():format(webp)/kly-media-production/medias/5432140/original/085176600_1764758142-IMG_4244.jpeg)
:strip_icc():format(webp)/kly-media-production/medias/5434742/original/054463500_1764955336-IMG_5366.jpg)
:strip_icc():format(webp)/kly-media-production/medias/5434459/original/034032800_1764928015-Bupati_aceh_selatan_mirwan.png)
:strip_icc():format(webp)/kly-media-production/medias/5432090/original/076373200_1764755978-Untitled_design__5_.jpg)
:strip_icc():format(webp)/kly-media-production/medias/5275215/original/095999700_1751869256-crop-woman-taking-red-rose-from-cheerful-man.jpg)
:strip_icc():format(webp)/kly-media-production/medias/5411424/original/051866100_1763013807-pexels-element5-973401.jpg)
:strip_icc():format(webp)/kly-media-production/medias/5404205/original/043168200_1762398414-IMG-20251106-WA0012.jpg)