Fimela.com, Jakarta Semenjak virus corona muncul di dunia, masyarakat melakukan gerakan #dirumahaja selama 14 hari. Dipercaya dalam waktu 2 minggu, virus corona penyebab penyakit COVID-19 akan hilang.
Baru-baru ini ilmuwan menemukan fakta, bahwa virus corona masih bisa bertahan selama beberapa minggu, setelah pasien dinyatakan sembuh.
Virus COVID-19 ini telah menyebar ke seleruh dunia. Pada dasarnya virus memiliki kandungan asam nukleuat (DNA atau RNA). Namun, hanya ada 1 asam nukleat yang terdapat pada virus.
Advertisement
Dilansir dari Bloomberg.com, di temukan adanya virus yang mengandung RNA, pada sampel pernapasan seorang pasien di China. Virus RNA lebih mudah bermutasi daripada virus DNA. Virus tersebut akan tetap hidup, walaupun orangnya sudah meninggal.
BACA JUGA
Advertisement
Virus Corona Merusak Paru-Paru
Para ilmuwan dari Peking University International Hospital, melakukan penelitian mengenai virus corona yang menyebabkan Covid-19. Mereka berpendapat bahwa virus akan tetap hidup di paru-paru, bahkan setelah pasien meninggal dunia.
Orang yang terinfeksi virus corona, akan mengalami sesak nafas. Hal ini dapat menyebabkan kerusakan pada paru-paru. Sehingga harus segera ditangani tenaga kesehatan.
Tidak hanya merusak paru-paru saja. Virus Covid juga dapat merusak bronkiolus, yang membuat pasien lebih sulit untuk bernapas.
Virus Corona tetap hidup pada orang meninggal
Tenaga kesehatan mulai mewaspadai pasien yang meninggal. Karena virus corona tetap hidup pada pasien yang sudah meninggal.
Pasien yang terinfeksi virus corona tidak boleh di jenguk keluarganya. Bahkan pada saat meninggal, keluarga juga tidak diperbolehkan untuk mengurus jenazahnya.
Hal ini dilakukan tenaga kesehatan, agar orang yang sehat tidak tertular virus corona, yang dibawa oleh pasien tersebut.
Advertisement
Cara Test Virus Corona
Untuk mengetahui pasien terinfeksi virus corona atau tidak, pemerintah China melakukan tes darah, dengan mengambil sampel dari pasien. Tes darah ini dilakukan berulang-ulang untuk mendapatkan hasil pasti. Dan tentu saja membutuhkan waktu yag lumayan lama.
Dilansir dari Dream.co.id, pada Ilmu Kedokteran Radiologi, pemerintah Provinsi Hubei menggunakan teknik yang dikenal dengan istilah Ground-glass opacity (GGO). GGO ini merupakan Teknik CT Scan yang digunakan untuk tes virus corona.
Menggunakan metode GGO ini, membuat para dokter lebih cepat mendiagnosa suatu virus. Termasuk virus COVID-19. Agar pasien bisa lebih cepat ditangani dan disembuhkan.
Ciri-ciri paru-paru orang yang terinveksi virus corona
Teknik Ground-glass opacity dianggap kurang akurat. Sebenarnya melakukan tes dengan tes darah, hasilnya akan lebih akurat. Tetapi para dokter di Wuhan tetap menggunakan teknik GGO ini.
Dokter memiliki alasan khusus untuk menggunakan teknik GGO ini. Karena tenaga kesehatan di rumah sakit kehabisan alat pelindung diri atau APD. Kalau tenaga medis melakukan tes darah, harus menggunakan alat pelindung yang lengkap. Karena mengambil sampel darah merupakan hal rawan terkena virus corona.
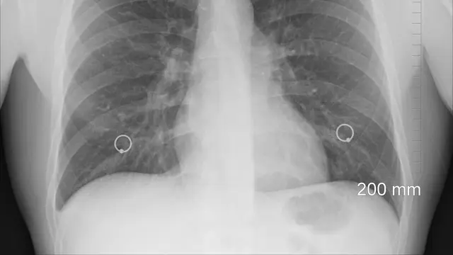
Seorang pasien yang didiagnosis suspect COVID-19, akan melakukan tes dengan CT scan. Kemudian hasil scan akan dilihat pada bagian paru-paru. Jika orang tersebut positif, maka pada bagian paru-parunya akan nampak bercak-bercak putih. Bercak ini membentuk ground-glass dan berjumlah banyak.
Advertisement
Bercak-Bercak pada Cairan Paru-Paru
Jika dilihat melalui CT Scan, paru-paru pada orang normal dan sehat, memiliki ciri-ciri berwarna hitam.
Menurut Paras Lakhani, yang merupakan ahli radiologi di Universitas Thomas Jefferson, bercak-bercak putih pada paru-paru pasien belum pasti karena terinfeksi virus Covid-2019.
Bercak-bercak tersebut bisa menunjukkan banyak jenis infeksi, bakteri, virus dan tanda penyakit tidak menular. Bercak-bercak putih yang wajib diwaspadai adalah bercak yang meluas ke tepi paru-paru.
Paru-Paru Akibat Corona
Seorang ahli patologi paru-paru, yaitu Sanjay Mukhopadhyay, M. D., memberikan gambaran paru-paru yang terinfeksi Corona Covid-19.
Pasien yang terinfeksi corona Covid-19, mengalami kerusakan dinding kantung udara di paru-paru. Kantung udara pada paru-paru memiliki fungsi untuk membantu oksigen masuk ke dalam sel darah merah. Dokter menyebut difusi alvelolar pada paru-paru rusak, ketika kantung udara pada paru-paru rusak.
Dalam paru-paru yang sehat, oksigen di dalam kantung udara ini (alveolus) bergerak ke pembuluh darah kecil (kapiler). Pembuluh kecil ini, pada gilirannya, mengirimkan oksigen ke sel darah merah Anda.
Dr. Sanjay Mukhopadhyay, menjelaskan tentang virus corona merusak dinding sel, selaput kantung udara dan juga pembunuh darah kecil. Virus corona ini akan melapisi seluruh dinding kantung udara pada paru-paru.
Virus corona membuat dinding alveoulus menjadi lebih tebal, dibandingkan dengan paru-paru normal. Karena pembuluh darah kecil mengalami kerusakan, protein plasma akan bocor dan menambah dinding alveolus tebal.
Bahaya akan terjadi ketika dinding alveolus semakin tebal. Karena akan membuat orang sesak napas, kekurangan oksigen hingga mengalami kematian.
Advertisement
Waspadai Diri
Kerusakaan paru-paru akibat virus Covid, berbeda dengan kerusakaan paru-paru pada penyakit lainnya.
Menurut ahli pernapasan di Royal Australasian College of Physicians, Prof. John Wilson mengungkapkan, bahwa infeksi virus COVID-19 biasanya diawali dengan batuk dan pilek, kemudian virus akan terus menyebar hingga merusak alveolus, dan akan mengakibatkan pneumonia.
Kasus ini tidak dapat dianggap sepele. Karena virus corona dapat hidup sekitar 30hari di paru-paru orang meninggal. Untuk itu, berhati-hatilah dengan virus ini. Waspadai gejala-gejala yang ada, agar tidak menulari orang lain.

:strip_icc():format(webp)/kly-media-production/avatars/1920242/original/032579100_1646626320-IMG_20220214_130002.jpg)
:strip_icc():format(webp)/kly-media-production/medias/3075114/original/093267800_1584015440-4r567yu89889o.jpg)
:strip_icc():format(webp)/kly-media-production/medias/3086695/original/078508700_1585283855-upper-body-944557.jpg)
:strip_icc():format(webp)/kly-media-production/medias/3086696/original/026017600_1585283856-coronavirus-4904507.jpg)
:strip_icc():format(webp)/kly-media-production/medias/3086697/original/098408900_1585283856-microscope-3184432.jpg)
:strip_icc():format(webp)/kly-media-production/medias/3086698/original/064548400_1585283858-coronavirus-4844595.jpg)
:strip_icc():format(webp)/kly-media-production/medias/3086699/original/078030200_1585283859-diagnosis-1476620.jpg)
:strip_icc():format(webp)/kly-media-production/medias/3086700/original/097381300_1585283859-jika-terjangkit-virus-corona-maka-paru-parunya-dipenuhi-bercak-putih-yang-meluas-hingga-ke-bagian-tepi.jpg)
:strip_icc():format(webp)/kly-media-production/medias/3086701/original/039389200_1585283860-coronavirus-4952102.jpg)

:strip_icc():format(webp)/kly-media-production/avatars/1783540/original/052094300_1708092084-IMG_1673.jpg)
:strip_icc():format(webp)/kly-media-production/medias/5398914/original/068803600_1761900361-Lagidiskon__desktop-mobile__356x469_-_Button_Share.png)
:strip_icc():format(webp)/kly-media-production/medias/5431900/original/091193100_1764750582-pexels-shiny-diamond-3762453.jpg)
:strip_icc():format(webp)/kly-media-production/medias/5431713/original/096158000_1764817864-Depositphotos_402440488_L.jpg)
:strip_icc():format(webp)/kly-media-production/medias/5430105/original/012582200_1764652234-WhatsApp_Image_2025-12-02_at_12.02.51.jpeg)
:strip_icc():format(webp)/kly-media-production/medias/5429070/original/046629500_1764572898-IMG-20251201-WA0006.jpg)
:strip_icc():format(webp)/kly-media-production/medias/5424336/original/002212400_1764139673-WhatsApp_Image_2025-11-26_at_13.45.51__1_.jpeg)
:strip_icc():format(webp)/kly-media-production/medias/5426830/original/091991200_1764318859-Depositphotos_677416934_L.jpg)
:strip_icc():format(webp)/kly-media-production/medias/5422904/original/014614300_1764047398-Depositphotos_837198304_L.jpg)
:strip_icc():format(webp)/kly-media-production/medias/5271915/original/037909700_1751527182-1000106578.jpg)
:strip_icc():format(webp)/kly-media-production/medias/5145866/original/092183600_1740739179-WhatsApp_Image_2025-02-28_at_5.36.31_PM.jpeg)
:strip_icc():format(webp)/kly-media-production/medias/5414800/original/033232300_1763351406-Depositphotos_189086874_L.jpg)
:strip_icc():format(webp)/kly-media-production/medias/5417351/original/036772900_1763530484-IMG-20251119-WA0006.jpg)
:strip_icc():format(webp)/kly-media-production/medias/5433800/original/036697500_1764902235-photo-grid_-_2025-12-05T092958.895.jpg)
:strip_icc():format(webp)/kly-media-production/medias/5383770/original/064662600_1760691483-person-serving-cup-coffee-with-metal-jug.jpg)
:strip_icc():format(webp)/kly-media-production/medias/3472306/original/061387500_1622720228-1.jpg)
:strip_icc():format(webp)/kly-media-production/medias/5432625/original/061031200_1764817850-Lenzing_dan_OceanSafe_Luncurkan_Tekstil_Berkelanjutan_Generasi_Baru_dengan_Teknologi_TENCEL____Lyocell_A100_dan_naNea.jpeg)
:strip_icc():format(webp)/kly-media-production/medias/5431096/original/069632600_1764726720-Foto_3.jpg)
:strip_icc():format(webp)/kly-media-production/medias/5430819/original/058391300_1764675223-WhatsApp_Image_2025-12-01_at_23.03.52.jpeg)
:strip_icc():format(webp)/kly-media-production/medias/5386900/original/074548500_1761025994-Depositphotos_685731278_XL.jpg)
:strip_icc():format(webp)/kly-media-production/medias/5393892/original/098624700_1761620089-Depositphotos_444183002_XL.jpg)
:strip_icc():format(webp)/kly-media-production/medias/5288117/original/033877800_1752892826-Depositphotos_567473778_XL.jpg)
:strip_icc():format(webp)/kly-media-production/medias/5276501/original/014846300_1751953910-Depositphotos_734386598_XL.jpg)
:strip_icc():format(webp)/kly-media-production/medias/5059629/original/036752400_1734746718-DSC02196.jpg)
:strip_icc():format(webp)/kly-media-production/medias/4812590/original/088755500_1714031325-IMG_2195.jpeg)
![Buat kamu yang sering males bawa tas, this might be your new everyday essential. [@ninjalabsx].](https://cdn1-production-images-kly.akamaized.net/JmPHj_AUqE0OF1amNJyGoeHJEqw=/320x217/smart/filters:quality(75):strip_icc():format(webp)/kly-media-production/medias/5431872/original/017250000_1764749869-SnapInsta.to_464376048_18021797717608173_6667940723387353151_n.jpg)
:strip_icc():format(webp)/kly-media-production/medias/5428609/original/023315200_1764553676-MIUCCIA_PRADA_HONORED_WITH_THE_LIFETIME_ACHIEVEMENT_AWARD_AT_THE_FASHION_TRUST_ARABIA_AWARDS_CEREMONY_2025__1_.jpg)
![Jennie BLACKPINK Berkolaborasi dengan Haribo. [@jennierubyjane]](https://cdn1-production-images-kly.akamaized.net/aV4GRPgoYJp6CPnLCXQZBu2qm5o=/320x217/smart/filters:quality(75):strip_icc():format(webp)/kly-media-production/medias/5426470/original/076048800_1764306557-IMG_1424_2_.jpeg)
:strip_icc():format(webp)/kly-media-production/medias/5426531/original/055682400_1764308639-Screenshot_2025-11-28_123440.png)
:strip_icc():format(webp)/kly-media-production/medias/5426229/original/035642400_1764297400-tong-su-1xx1hq2RJts-unsplash.jpg)
:strip_icc():format(webp)/kly-media-production/medias/5426004/original/019931600_1764246120-Nov_27__2025__07_20_48_PM.png)
:strip_icc():format(webp)/kly-media-production/medias/5404227/original/077206700_1762399533-young-boy-girl-planting-seeds-home.jpg)
:strip_icc():format(webp)/kly-media-production/medias/5404205/original/043168200_1762398414-IMG-20251106-WA0012.jpg)
![Kehangatan Tasya Farasya Bersama Kedua Anaknya. [@tasyafarasya]](https://cdn1-production-images-kly.akamaized.net/bX-j5y-afqjWHRnL3uobqwTutn8=/320x217/smart/filters:quality(75):strip_icc():format(webp)/kly-media-production/medias/5434624/original/091228100_1764936416-IMG_1772_1_.jpeg)
:strip_icc():format(webp)/kly-media-production/medias/2385454/original/079349900_1539755406-priscilla-du-preez-234148-unsplash.jpg)
:strip_icc():format(webp)/kly-media-production/medias/5424870/original/031623300_1764162763-derek-owens-I3UQSz13T9A-unsplash.jpg)
:strip_icc():format(webp)/kly-media-production/medias/3407497/original/070701200_1616386662-WhatsApp_Image_2021-03-22_at_10.39.20__1_.jpeg)
:strip_icc():format(webp)/kly-media-production/medias/3221935/original/084901000_1598605805-pexels-andrea-piacquadio-975250.jpg)
:strip_icc():format(webp)/kly-media-production/medias/3353795/original/056458100_1611093586-beautiful-elegance-luxury-fashion-pink-women-handbag_1203-7653.jpg)
:strip_icc():format(webp)/kly-media-production/medias/5416947/original/076643700_1763480454-IMG_4832.jpg)
![Tasya Farasya memilih gaun rancangan Sapto Djojokartiko berwarna nude lembut yang memancarkan aura elegan dan feminin. Detail renda dan bordir bunga yang menjalar di seluruh permukaan dress memberi kesan etereal, seolah Tasya melangkah dengan sentuhan magis di setiap langkahnya. [@tasyafarasya].](https://cdn1-production-images-kly.akamaized.net/OqVnUTOel9W48rzP0VmUfvkZ43Y=/0x0:1080x608/320x217/filters:quality(75):strip_icc():format(webp)/kly-media-production/medias/5401013/original/058481200_1762154715-SnapInsta.to_572802011_18541861090004502_6731982056297577983_n.jpg)
:strip_icc():format(webp)/kly-media-production/medias/5395367/original/014527000_1761705838-FIMELA_FASHION_-_BLUSH_ELEGANCE_TO_SCULPTED_GRACE__IG_FEED_ls__1_.jpg)
:strip_icc():format(webp)/kly-media-production/medias/5231281/original/035535800_1748077534-WhatsApp_Image_2025-05-24_at_4.02.19_PM.jpeg)
:strip_icc():format(webp)/kly-media-production/medias/5434631/original/080864300_1764936738-Bupati_Aceh_Selatan.png)
:strip_icc():format(webp)/kly-media-production/medias/5434698/original/075693800_1764947628-1000017326__1_.jpg)
:strip_icc():format(webp)/kly-media-production/medias/5432140/original/085176600_1764758142-IMG_4244.jpeg)
:strip_icc():format(webp)/kly-media-production/medias/5434742/original/054463500_1764955336-IMG_5366.jpg)
:strip_icc():format(webp)/kly-media-production/medias/5434459/original/034032800_1764928015-Bupati_aceh_selatan_mirwan.png)
:strip_icc():format(webp)/kly-media-production/medias/5434536/original/018844700_1764931094-eeee.jpg)
:strip_icc():format(webp)/kly-media-production/medias/5379173/original/092511500_1760338133-business-finance-employment-female-successful-entrepreneurs-concept-confident-businesswoman-glasses-white-suit-ready-meeting-smiling-pleased-standing-determined.jpg)
:strip_icc():format(webp)/kly-media-production/medias/5431290/original/010427200_1764734571-nasi_kotak_jumat_berkah_2.jpg)